Le metastasi ossee
1UOC Ortopedia Oncologica, ASST Gaetano Pini, CTO, Milano;
2UOC Ortopedia e Traumatologia, Ospedale “L. Sacco”, ASST Fbf – Sacco, Milano
DEFINIZIONE ED EPIDEMIOLOGIA
Il termine metastasi indica il processo biologico per cui le cellule tumorali si diffondono dal loro sito di origine primario ad altri organi o tessuti distanti. Questo processo è una caratteristica distintiva dei tumori maligni e rappresenta la causa principale di morbilità e mortalità nei pazienti oncologici. Il meccanismo con cui avviene è complesso e multifattoriale1. L’osso è la terza sede di metastasi dei carcinomi, dopo polmone e fegato2. Secondo l’American Cancer Society ogni anno sono diagnosticati circa 400.000 nuovi casi di metastasi osse 3. L’incidenza di tumori avanzati con metastasi ossee è del 30-75% soprattutto in pz con tumore avanzato della prostata 4) e della mammella5. Gli istotipi che più frequentemente metastatizzano all’osso sono: mammella, prostata, polmone, rene6. Specificamente, il tumore della mammella ha una notevole propensione a metastatizzare allo scheletro, in particolare alla colonna vertebrale e alle ossa lunghe, con una prevalenza fino al 70% nei pazienti post-mortem 7. L’incidenza delle metastasi ossee è in aumento, anche a causa del miglioramento delle terapie oncologiche che prolungano la sopravvivenza dei pazienti, rendendo più probabile l’insorgenza di queste complicanze scheletriche nel corso della malattia 8. Con l’aumentare dell’incidenza delle metastasi ossee, si osserva anche una maggiore frequenza di complicanze scheletriche correlate, tra cui compressione del midollo spinale, fratture vertebrali e necessità di radioterapia per il controllo del dolore 9,10.
La metastatizzazione ossea è un processo complesso, caratterizzato dalla capacità delle cellule tumorali di disperdersi dal sito primario, raggiungere il microambiente osseo e lì proliferare, alterando profondamente l’omeostasi scheletrica e portando a distruzione ossea 1,7. Le due principali teorie del processo di metastatizzazione sono: 1. la via di disseminazione (ematica o linfatica), per cui le cellule tumorali dal primitivo vengono trasportate dal sangue e nel midollo osseo per riduzione della velocità di flusso trovano le condizioni per crescere; 2. La teoria del “seed and soil”, secondo la quale specifiche cellule tumorali (“il seme”) mostrano una particolare affinità per determinati siti metastatici (“il suolo”), come l’osso, dove trovano un microambiente propizio per la loro crescita 1. Questo concetto evidenzia la critica interazione tra le cellule tumorali e il microambiente osseo, in quella che si chiama nicchia pre-metastatica. Infatti, gli osteoblasti all’interno di questa nicchia possono indurre quiescenza nelle cellule tumorali circolanti, mantenendole in uno stato dormiente non proliferativo prima di promuovere attivamente la loro eventuale crescita e progressione tumorale 11. Questo stato dormiente, caratterizzato da uno stato non proliferante ma vitale, presenta una sfida clinica significativa poiché queste cellule possono riattivarsi anni o persino decenni dopo, spiegando il manifestarsi di metastasi anche dopo molti anni di intervallo libero da malattia. La comprensione dei meccanismi molecolari e cellulari della nicchia pre-metastatica è fondamentale per sviluppare nuove strategie diagnostiche e terapeutiche per prevenire la diffusione del cancro 12,13.
GLI EVENTI SCHELETRICI - SRE
La presenza di una localizzazione metastatica nell’osso non necessita di trattamenti fino a quando la stessa non diventa clinicamente rilevante dando luogo a quelli che vengono definiti eventi correlati scheletrici (SREs = Skeletal Related Events) rappresentati da: frattura patologica, compressione midollare, ipercalcemia, dolore osseo14. La frequenza con cui uno SRE può presentarsi nel corso della malattia metastatica è circa ogni 3-6 mesi15. La comparsa di uno SRE impatta sulla morbidità, sulla autonomia, riduce la qualità di vita correlata alla malattia, gravando negativamente sulla prognosi e sulla sopravvivenza globale.
Le sedi scheletriche complite con maggiore frequenza sono il rachide, il bacino e le coste nello scheletro assile, in ragione della maggiore rappresentanza di midollo osseo. Tra queste la regione toracica è la più frequentemente coinvolta, rappresentando il 70% delle metastasi spinali, seguita dalla colonna lombare e cervicale.
Nello scheletro appendicolare le sedi più colpite sono rappresentate dal femore prossimale e distale e dall’omero prossimale. Rare e segno di uno stadio molto avanzato di malattia sono le acrometastasi, localizzate alle estremità16.
IL RISCHIO DI FRATTURA PATOLOGICA
La sostituzione di tessuto osseo da parte di cellule tumorali riduce la resistenza meccanica portando ad una condizione di rischio di frattura patologica che può verificarsi se non vengono adottate misure preventive. Questo quadro patologico prende il nome di impending fracture17. La valutazione del rischio di frattura patologica, e quindi la diagnosi di impending fracture, è un aspetto critico nella gestione clinica e chirurgica della malattia metastatica18. L’identificazione tempestiva dei pazienti a rischio elevato di frattura imminente è fondamentale per poter considerare interventi chirurgici profilattici, i quali hanno dimostrato di migliorare sia la qualità di vita che la sopravvivenza14. Tuttavia, la chirurgia profilattica per le metastasi delle ossa lunghe rimane un argomento controverso a causa della mancanza di accuratezza degli attuali strumenti di valutazione del rischio di frattura. Il sistema di punteggio di Mirels, introdotto nel 1989, è lo strumento più comunemente utilizzato per la valutazione del rischio di fratture imminenti nelle ossa lunghe19. Questo sistema considera quattro caratteristiche: la localizzazione (arto superiore, arto inferiore, regione intertrocanterica), la natura della lesione (sclerotica, litica, mista), la dimensione della lesione ( < 1/3; 1/3-2/3; > 2/3) e il dolore (assente, lieve, al carico). A ciascuna di queste caratteristiche viene dato un punteggio da 1 a 3, indicando l’intervento profilattico per un valore superiore a 7. Si ritiene comunemente che le lesioni nell’area peritrocanterica presentino un alto rischio di frattura.
Le raccomandazioni cliniche basate sul punteggio di Mirels sono le seguenti 19):
- Mirels score< 7: radioterapia e osservazione.
- Mirels score= 8: giudizio clinico.
- Mirels score> 9: intervento profilattico.
Nonostante la sua diffusione, e l’esteso utilizzo nella pratica clinica, il punteggio di Mirels presenta molti limiti, in particolare questo scoring system ha mostrato una bassa specificità che potrebbe portare ad una sovrastima all’indicazione chirurgica. Nuove soglie basate sull’imaging e modelli biomeccanici di tomografia computerizzata quantitativa, come l’analisi di rigidità TC e l’analisi agli elementi finiti, offrono una migliore specificità 20,21. Tuttavia, questi metodi più recenti sono limitati da problemi di disponibilità e standardizzazione.
La applicabilità dello score di Mirels si limita alle ossa lunghe e non può essere applicato allo scheletro assile, sede molto frequente di localizzazioni secondarie. La valutazione del rischio di frattura in questa sede può essere eseguita con lo Spinal Instability Neoplastic Score22 (Tab. II). Il punteggio totale (che varia da 0 a 18) categorizza la colonna vertebrale in tre gruppi: stabile (0-6 punti), potenzialmente instabile (7-12 punti) e instabile (13-18 punti). Il punteggio SINS è uno strumento utile per la valutazione clinica e la pianificazione del trattamento dei pazienti con metastasi spinali, specialmente per determinare la necessità di intervento chirurgico per la stabilizzazione.
LE OLIGOMETASTASI
Le oligometastasi ossee, una condizione intermedia tra la malattia localizzata e quella ampiamente metastatica, sono definite dalla presenza di un numero limitato di lesioni metastatiche e rappresentano un’opportunità per un trattamento curativo che necessita di una maggiore aggressività chirurgica 23. Questo concetto fu introdotto per la prima volta da Hellman e Weichselbaum nel 1995, implicando che in un numero limitato di localizzazioni, il trattamento di eradicazione avrebbe potuto rappresentare un vantaggio sulla sopravvivenza libera da malattia e globale. L’identificazione precoce e la caratterizzazione molecolare di queste lesioni sono cruciali per selezionare i pazienti che potrebbero beneficiare maggiormente di approcci terapeutici mirati. Al momento della diagnosi di localizzazione meritevole di trattamento chirurgico, è essenziale eseguire un bilancio sistemico di malattia al fine di ponderare a seconda del numero di localizzazione l’indicazione più corretta. Particolarmente utili sono la PET e la PET con PSMA per la prostata che offre una sensibilità diagnostica superiore rispetto ai metodi convenzionali 24.
Questo concetto distingue i pazienti con un numero limitato di metastasi, spesso meno di cinque, in siti specifici e controllabili localmente, da quelli con malattia disseminata, dove la chirurgia raramente è curativa 23. La presenza di oligometastasi ossee, sebbene indichi una progressione della malattia, non preclude la possibilità di un approccio terapeutico aggressivo, specialmente quando altre terapie come la chemioterapia, la radioterapia, la terapia ormonale, l’immunoterapia e i bifosfonati non hanno sortito l’effetto desiderato o quando vi è un imminente rischio di frattura patologica.
STRATEGIE CHIRURGICHE DI TRATTAMENTO
Gli obiettivi dell’intervento chirurgico sono principalmente la prevenzione della frattura patologica, la riduzione del dolore, asportazione del tumore (nelle oligometastasi) e il mantenimento della funzionalità e dell’autonomia. Le tecniche chirurgiche per il trattamento delle metastasi ossee sono molteplici e variano in base alla localizzazione, estensione della lesione e condizione generale del paziente. La scelta della tecnica chirurgica più appropriata dipende da una valutazione multidisciplinare che coinvolga oncologi, chirurghi ortopedici, radiologi e radioterapisti, per ottimizzare i risultati terapeutici e che consideri l’aspettativa di vita del paziente, il tipo istologico del tumore primario, la risposta alle terapie sistemiche e le caratteristiche biomeccaniche dell’osso coinvolto. Il trattamento chirurgico va inoltre integrato con terapie locali come la radioterapia per migliorare la sopravvivenza libera da progressione e, in generale, la sopravvivenza complessiva.
Di seguito elenchiamo differenti opzioni chirurgiche con le indicazioni generali nelle metastasi dello scheletro appendicolare.
RESEZIONE EN-BLOC
Questa tecnica è particolarmente indicata per lesioni ossee isolate (Fig. 1 a-c) o oligometastatiche in segmenti scheletrici facilmente ricostruibili, offrendo la possibilità di eradicazione locale completa e miglioramento significativo della prognosi a lungo termine, come dimostrato in studi che confrontano la metastasectomia con la sola terapia sistemica23. Trovano una indicazione anche le localizzaizoni estese alla metaepifisi. La ricostruzione con megaprotesi, con fittoni cementati, offre una stabilità superiore e riduce i tassi di reintervento per fallimento dell’impianto, specialmente per le metastasi del femore prossimale o dell’omero25.
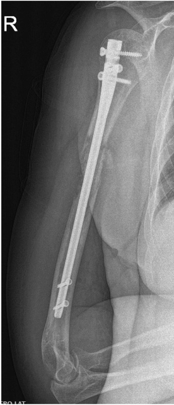
OSTEOSINTESI CON CHIODO O PLACCA E VITI CON O SENZA CURETTAGE
La stabilizzazione preventiva o su frattura mediante intervento di infibulo endomidollare deve sempre osteosintetizzare (o stabilizzare) l’intero segemento ed è riservata a pz con scarsa prognosi in cui permette un rapido sollievo dal dolore e ripresa della funzionalità (Fig. 2).
Deve essere associata sempre a radioterapia post-operatoria. Le localizzazioni metafisarie possono essere controllate meglio con intervento di curettage e placca dopo riempimento con cemento (Fig.3 a-d). La cementoplastica è emersa come una promettente opzione clinica, sicura e fattibile soprattutto per le sedi più complesse come l’acetabolo26.
CONCLUSIONI
Le metastasi ossee rappresentano una sfida in continua evoluzione per l’ortopedico oncologo e l’ortopedico traumatologo che nella pratica clinica si trova a trattare sempre più fratture patologiche. Seppure, siano molteplici le strategie di trattamento chirurgico, è fondamentale discuterle nel team multidisciplinare per la scelta individualizzata sul paziente.
CAPITOLO 94Bibliografia.
- Suva LJ, Washam C, Nicholas RW, et al. Bone metastasis: mechanisms and therapeutic opportunities. Nat Rev Endocrinol. 2011 Apr;7(4):208-18. doi: 10.1038/nrendo.2010.227.
- He J, Zeng ZC, Fan J, et al. Clinical features and prognostic factors in patients with bone metastases from hepatocellular carcinoma after liver transplantation. BMC Cancer. 2011 Nov 22;11:492. doi: 10.1186/1471-2407-11-492.
- Siegel RL, Miller KD, Jemal A. Cancer Statistics, 2017. CA Cancer J Clin. 2017 Jan;67(1):7-30. doi: 10.3322/caac.21387.
- Bienz M, Saad F. Management of bone metastases in prostate cancer: a review. Curr Opin Support Palliat Care. 2015 Sept;9(3):261-7. doi: 10.1097/SPC.0000000000000157.
- Cosphiadi I, Atmakusumah TD, Siregar NC, et al. Bone Metastasis in Advanced Breast Cancer: Analysis of Gene Expression Microarray. Clin Breast Cancer. 2018 Oct;18(5):e1117-22. doi: 10.1016/j.clbc.2018.03.001.
- Jiang W, Rixiati Y, Zhao B, et al. Incidence, prevalence, and outcomes of systemic malignancy with bone metastases. J Orthop Surg Hong Kong. 2020;28(2):2309499020915989.
- Barrière DA, Midavaine É, Doré-Savard L, et al. Dichotomic effects of clinically used drugs on tumor growth, bone remodeling and pain management. Sci Rep. 2019 Dec 27;9(1):20155. doi: 10.1038/s41598-019-56622-5.
- Soeharno H, Povegliano L, Choong PF. Multimodal Treatment of Bone Metastasis-A Surgical Perspective. Front Endocrinol. 2018;9:518. doi: 10.3389/fendo.2018.00518.
- Akezaki Y, Nakata E, Kikuuchi M, et al. Factors Affecting the Quality of Life of Patients with Painful Spinal Bone Metastases. Healthc Basel Switz. 2021 Nov 3;9(11):1499. doi: 10.3390/healthcare9111499.
- Harrington KD. Orthopedic surgical management of skeletal complications of malignancy. Cancer. 1997 Oct 15;80(8 Suppl):1614-27. doi: 10.1002/(sici)1097-0142(19971015)80:8+<1614::aid-cncr12>3.3.co;2-0.
- Zarrer J, Taipaleenmäki H. The osteoblast in regulation of tumor cell dormancy and bone metastasis. J Bone Oncol. 2024 Apr;45:100597. doi: 10.1016/j.jbo.2024.100597.
- Liu Y, Cao X. Characteristics and Significance of the Pre-metastatic Niche. Cancer Cell. 2016 Nov 14;30(5):668-81. doi: 10.1016/j.ccell.2016.09.011.
- Wang Y, Jia J, Wang F, et al. Pre-metastatic niche: formation, characteristics and therapeutic implication. Signal Transduct Target Ther. 2024 Sept 25;9(1):236. doi: 10.1038/s41392-024-01937-7.
- Nguyễn MV, Carlier C, Nich C, et al. Fracture Risk of Long Bone Metastases: A Review of Current and New Decision-Making Tools for Prophylactic Surgery. Cancers. 2021 July 21;13(15):3662. doi: 10.3390/cancers13153662.
- Coleman RE. Metastatic bone disease: clinical features, pathophysiology and treatment strategies. Cancer Treat Rev. 2001 June;27(3):165-76. doi: 10.1053/ctrv.2000.0210.
- Stomeo D, Tulli A, Ziranu A, et al. Acrometastasis: a literature review. Eur Rev Med Pharmacol Sci. 2015 Aug;19(15):2906-15.
- Spinelli MS, Campi S, Sacchetti FM, et al. Pathologic and impending fractures: biological and clinical aspects. J Biol Regul Homeost Agents. 2015;29(4 Suppl):73-8.
- Piccioli A, Spinelli MS, Maccauro G. Impending fracture: A difficult diagnosis. Injury. 2014 Dec 1;45:S138-41. doi: 10.1016/j.injury.2014.10.038.
- Jawad MU, Scully SP. In Brief: Classifications in Brief: Mirels’ Classification: Metastatic Disease in Long Bones and Impending Pathologic Fracture. Clin Orthop. 2010 Oct;468(10):2825-7. doi: 10.1007/s11999-010-1326-4.
- Damron TA, Nazarian A, Entezari V, et al. CT-based Structural Rigidity Analysis Is More Accurate Than Mirels Scoring for Fracture Prediction in Metastatic Femoral Lesions. Clin Orthop. 2016 Mar;474(3):643-51. doi: 10.1007/s11999-015-4453-0.
- Damron TA, Mann KA. Fracture risk assessment and clinical decision making for patients with metastatic bone disease. J Orthop Res Off Publ Orthop Res Soc. 2020 June;38(6):1175-90. doi: 10.1002/jor.24660.
- Confavreux CB, Follet H, Mitton D, et al. Fracture Risk Evaluation of Bone Metastases: A Burning Issue. Cancers. 2021 Nov 15;13(22):5711. doi: 10.3390/cancers13225711.
- Trovarelli G, Rizzo A, Zinnarello FD, et al. Modern Treatment of Skeletal Metastases: Multidisciplinarity and the Concept of Oligometastasis in the Recent Literature. Curr Oncol. 2025 Apr 11;32(4):226. doi: 10.3390/curroncol32040226.
- Terao M, Niikura N. Diagnosis of oligometastasis. Transl Cancer Res. 2020 Aug;9(8):5032-7. doi: 10.21037/tcr.2020.01.04.
- Errani C, Mavrogenis AF, Cevolani L, et al. Treatment for long bone metastases based on a systematic literature review. Eur J Orthop Surg Traumatol Orthop Traumatol. 2017 Feb;27(2):205-11. doi: 10.1007/s00590-016-1857-9.
- Spinelli MS, Ziranu A, Piccioli A, et al. Surgical treatment of acetabular metastasis. Eur Rev Med Pharmacol Sci. 2016 July;20(14):3005-10.
