Fratture del femore distale
Clinica Ortopedica e Traumatologica, Dipartimento di Medicina e Chirurgia, Università di Perugia, Perugia
DEFINIZIONE
Il femore distale è definito come la regione che va dalla giunzione meta-diafisaria alla superficie articolare del ginocchio, coinvolgendo circa i 15 cm distali del femore. Nonostante un’incidenza inferiore rispetto alle fratture prossimali di femore, le fratture del femore distale rappresentano generalmente una categoria di fratture più grave. Ciò trova giustificazione sia nella tipologia di trauma, ovvero frequenti traumi ad alta energia nel giovane-adulto o fratture complesse e spesso pluriframmentarie da osteoporosi nell’anziano, sia nel frequente coinvolgimento articolare, che rappresenta un fattore prognostico negativo a lungo termine. Il tasso di mortalità a 1 anno per le fratture distali del femore negli anziani, seppur sottoposti ad intervento, è stato riportato tra il 13,4 e il 35% 1. Allo stesso tempo, il recupero funzionale appare di norma, per i pazienti geriatrici, spesso più lento rispetto alle fratture prossimali.
EPIMEMIOLOGIA E PATOGENESI
Le fratture del femore distale rappresentano meno dell’1% di tutte le fratture nell’adulto e circa il 3-6% di tutte le fratture del femore. Le più recenti stime epidemiologiche attestano un’incidenza di fratture del femore distale intorno a 37 su 100.000 persone negli USA 2. Si presentano con una distribuzione bimodale. Un gruppo comprende pazienti di età inferiore ai 40 anni, prevalentemente maschi, che hanno subito un trauma ad alta energia, come un incidente stradale o una caduta dall’alto. L’altro gruppo è costituito da pazienti di età superiore a 50 anni, prevalentemente di sesso femminile, con osteoporosi, che subiscono traumi a energia relativamente bassa. In entrambi i casi, il carico assiale sulla gamba rappresenta il meccanismo di lesione più comune, per cadute dall’alto, traumi diretti, o sovraccarichi anomali sull’asse femorale. Un ulteriore meccanismo molto comune è il trauma diretto al ginocchio flesso, tipicamente riscontrato nelle lesioni da cruscotto. Meno frequentemente, le forze di rotazione/torsionali a carico del femore distale possono generare una frattura, ma ciò accade prevalentemente nei casi di severa fragilità ossea 3. Quasi il 60% delle fratture del femore distale si verificano nel gruppo di età > 50 anni. In questa sottocategoria, l’osteoporosi non solo rappresenta una condizione predisponente, ma allo stesso tempo può porre problemi di fissazione nei trattamenti chirurgici di osteosintesi, ragion per cui, la prognosi della frattura del femore distale ed il tasso di successo dei mezzi di sintesi mostrano risultati non sempre soddisfacenti. Specialmente nei traumi ad alta energia, sono spesso associate le lesioni dei tessuti molli. In primo luogo queste possono includere le più banali lesioni legamentose dell’articolazione del ginocchio che spesso sono difficili da diagnosticare fino a quando la frattura del femore distale non è stata sottoposta a stabilizzazione. Quando associata alle fratture del piatto tibiale, condizione definita “Floating Knee” o “ginocchio fluttuante”, richiede un trattamento aggressivo.
Le fratture del femore distale causate da un trauma ad alta energia presentano un rischio elevato di lesioni vascolari, come a carico dell’arteria femorale, che si trova all’interno del canale adduttore, circa 10 cm sopra il ginocchio lungo la corticale postero-mediale. Le lesioni associate a una lussazione del ginocchio aumentano il rischio di lesione dell’arteria poplitea. Ciononostante, l’incidenza di lesioni neuro-vascolari rimane rara: circa lo 0,2%.
CLASSIFICAZIONE
La classificazione di tale frattura si basa sulla localizzazione rispetto alla superficie articolare, il grado di frammentazione e il grado di scomposizione. Per ciò che concerne la scomposizione, in genere, i tendini del ginocchio e il meccanismo estensore causano l’accorciamento della frattura, mentre il lungo adduttore scompone la frattura in varismo. I due capi del muscolo gastrocnemio estendono il frammento distale, determinando un’angolazione apicale posteriore della frattura o causano la separazione e la rotazione dei frammenti condilari distali. Nel corso del tempo si è assistito alla presentazione di numerose tipologie classificative, quali quella di Neer et al., Seinsheimer, Egund e Kolmer. Più recentemente ha prevalso per efficacia il sistema di classificazione AO 4. Secondo i principi AO, le fratture di tipo A sono extra-articolari, quelle di tipo B sono parzialmente articolari, il che significa che una quota parte della superficie articolare rimane in contatto con la diafisi. Le fratture di tipo C sono fratture articolari complete con distacco di entrambi i condili dalla diafisi. I tipi di frattura si suddividono ulteriormente descrivendo il grado di frammentazione e altre più dettagliate caratteristiche. Infatti le tre classi principali si sottodividono ulteriormente numericamente (1, 2 e 3) in funzione della localizzazione della scomposizione e frammentarietà. A1, A2 e A3 si sottoclassificano numericamente in base al numero di frammenti. La suddivisione delle fratture di tipo B comprende B1 (scomposizione sagittale, coinvolge il condilo laterale), B2 (sagittale, coinvolge condilo mediale) e B3 (frontale, tipo Hoffa). La frattura tipo C è suddivisa in C1 (articolare semplice, metafisaria semplice), C2 (articolare semplice, metafisaria pluriframmentaria) e C3 (pluriframmentaria) (Fig. 1. A).
DIAGNOSI
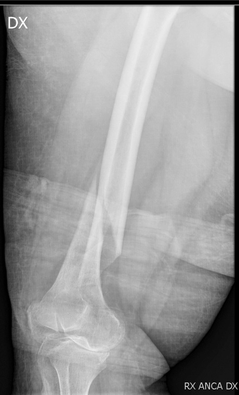
L’attenta considerazione del meccanismo del trauma e la valutazione delle lesioni associate dovrebbero essere incluse in ogni valutazione iniziale del paziente. È di tutta evidenza infatti che i traumi a alta energia sono spesso associati a lesioni scheletriche concomitanti e danni ai tessuti molli o altri organi. Una valutazione approfondita della cute è obbligatoria per escludere la possibilità di una frattura esposta, che può presentarsi nel 5-10% delle fratture sovracondrali 2. Alla valutazione clinica questo tipo di frattura si presenta solitamente con un forte dolore alla coscia e al ginocchio. I pazienti presentano in genere un’incapacità nel sostenere il peso sull’arto interessato. Possono essere presenti deformità evidenti a livello della coscia e del ginocchio distale.
Le radiografie dell’intera estremità, esami di primo livello, devono comprendere le articolazioni prossimali e distali alla lesione sospetta; nei casi di politraumi severi le radiografie devono essere eseguite appena i pazienti sono emodinamicamente stabili, al fine di confermare e caratterizzare la frattura. La Tac, con le più moderne ricostruzioni tridimensionali, rappresenta un esame di secondo livello, ma allo stesso tempo spesso necessario. Infatti le fratture distali di femore, per la loro frequente complessità e per il frequente coinvolgimento articolare, richiedono uno studio approfondito che possa condurre a una efficace valutazione del coinvolgimento articolare e anche a una valutazione prognostica specifica. Al momento della pianificazione del trattamento, infatti la TC con ricostruzione coronale e sagittale è raccomandata per le fratture complesse, quelle con estensione intra-articolare e per la valutazione dei frammenti osteocondrali 5. La TC è fortemente raccomandata per valutare la frattura di Hoffa, che è una frattura intra-articolare del femore distale sul piano coronale che coinvolge più comunemente il condilo laterale, con un’incidenza del 38,1%. Nei casi di Damage control è necessario eseguirla dopo il posizionamento del fissatore esterno.
L’Angio-TC, è indicata in caso di sospetta crisi vascolare, specialmente in caso di ipovalidità di polso omolaterale nonostante il riallineamento dei monconi. Si rende necessaria anche in presenza di una lussazione del ginocchio. La risonanza magnetica (RM) è utile se si sospettano lesioni importanti dei legamenti intra-articolari o extra-articolari o di altri tessuti molli. Nei traumi ad alta energia non sono infrequenti lesioni a carico dei tendini del ginocchio. Inoltre possono essere studiate eventuali lesioni nervose a carico delle diramazioni del nervo sciatico, più frequentemente lo sciatico popliteo esterno, lesioni meniscali o condrali. Rappresentando un esame di terzo livello, la risonanza magnetica deve essere eseguita dopo una fissazione temporanea o definitiva. Ovviamente al fine di valutare adeguatamente con un esame di questo tipo i tessuti molli, nel caso di una sintesi, che sia temporanea o definitiva, sarebbe raccomandato nell’osteosintesi l’uso di materiali non ferromagnetici per garantire la sicurezza del paziente e la qualità dell’immagine, altrimenti l’esame diviene inadeguato 6.
PRINCIPI DI TRATTAMENTO
Il management di questo tipo di fratture deve tenere necessariamente conto della tipologia e gravità di trauma. In caso di severo politrauma infatti, o di fratture esposte, risulta indicato un trattamento di “damage-control”, ovvero di stabilizzazione temporanea mediante fissazione esterna. Data la criticità nella localizzazione anatomica, molto frequentemente con coinvolgimento fratturativo dell’articolazione stessa, la fissazione esterna risulta frequentemente “a ponte” ovvero stabilizzando tutta l’articolazione del ginocchio con ancoraggio sia a livello del femore che della tibia prossimale. In alternativa, la fissazione esterna può, seppur raramente, rappresentare un trattamento definitivo per i pazienti con fratture gravemente comminute e perciò non riducibili o in pazienti con condizioni mediche concomitanti incompatibili con un ulteriore intervento chirurgico.
Nella restante quota dei casi in cui un fissatore esterno non sia necessario, o nei casi in cui il paziente sia stato già trattato temporaneamente con la fissazione esterna e abbia raggiunto una stabilità e sicurezza clinica, allora è d’obbligo pianificare un trattamento definitivo.
La scelta del trattamento definitivo deve essere ponderata sia sulla base della tipologia di frattura, valutando il grado di scomposizione, eventuale pluriframmentarietà e coinvolgimento articolare, sia sulla tipologia di paziente, valutando età, richiesta funzionale, comorbidità e infine possibile qualità ossea.
Il trattamento conservativo risulta indicato nelle fratture pressoché composte e stabili, prescrivendo un‘immobilizzazione assoluta dell’arto, con astensione dal carico per almeno 6 settimane. Può altresì essere indicato nei casi di frattura più complessa ma riservando tale opzione ai pazienti non deambulanti o ai pazienti troppo fragili per tollerare una procedura chirurgica. È indubbio tuttavia, che specialmente nei pazienti anziani, la lunga immobilizzazione, nonché l’utilizzo di ortesi fisse, spesso gessate, possono rappresentare fattori predisponenti specifiche complicazioni: ulcere da decubito, complicanze tromboemboliche, perdita della funzionalità del ginocchio, etc. La soluzione chirurgica infatti ha dimostrato costantemente risultati superiori rispetto al trattamento conservativo per quanto riguarda mantenimento dell’asse, guarigione della frattura, risultato funzionale e soprattutto prevenzione delle complicanze 7. A tal proposito, un mezzo di fissazione stabile risulta importante per consentire una precoce mobilizzazione articolare del ginocchio.
L’obiettivo della gestione chirurgica delle fratture femorali distali è la riduzione anatomica della superficie articolare e il ripristino della lunghezza, della rotazione e dell’allineamento dell’arto. Sebbene il ripristino dell’allineamento sia nel piano coronale e sagittale sia importante per ripristinare il normale movimento del ginocchio è dimostrato in letteratura come il piano coronale risulta il più significativo per quanto riguarda l’esito complessivo a lungo termine. I pazienti con fratture che guariscono con più di 15 gradi di valgismo o in qualsiasi grado di varismo hanno più probabilità di incorrere in complicanze tardive 8.
Le caratteristiche della frattura, oltre le condizioni mediche generali del paziente condizionano generalmente il tipo di fissazione.
Nel corso degli anni si è assistito a una evoluzione dei mezzi di sintesi in termini di stabilità, resistenza e soprattutto invasività. Nella più moderna concezione della pratica chirurgica ortopedica, la preservazione dei tessuti molli è fondamentale per ridurre il rischio di mancata guarigione. Per fratture semplici condilari ad esempio si ricorre sempre più alla sintesi percutanea mediante viti interframmentarie percutanee 9.
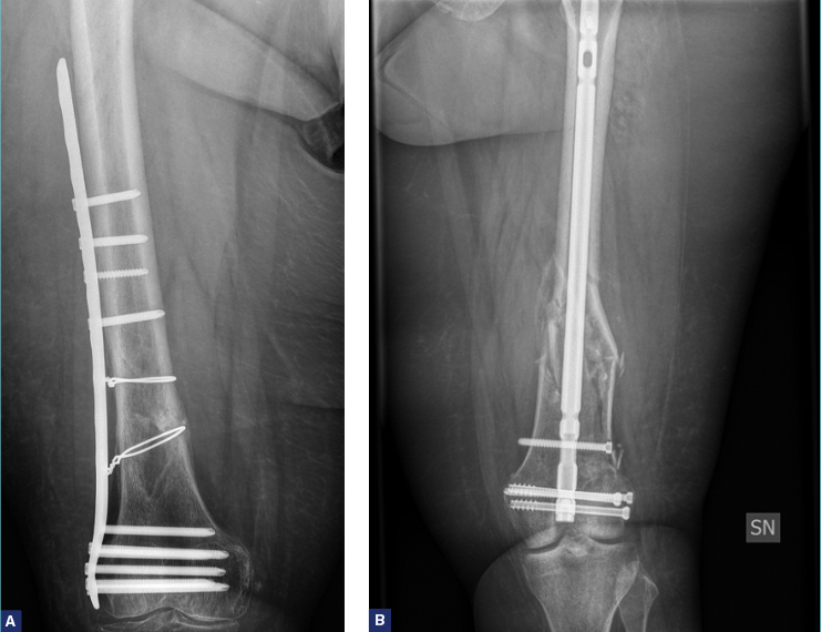
L’utilizzo delle placche ha visto il progressivo abbandono delle Lame-Placca a stabilità fissa ovvero placche angolate di 95 gradi che forniscono una fissazione stabile controllando l’allineamento in 3 piani, e di difficile applicazione, per far spazio alle placche DCS, e sempre più recentemente alle placche LISS (“Less Invasive Stabilization System”). Si tratta di placche modellate anatomicamente preconformate che offrono la versatilità aggiuntiva di opzioni di fori distali multipli per le viti, combinate con la possibilità di comprimere i frammenti e conferire stabilità angolare. L’applicazione inoltre si può ottenere con una tecnica meno invasiva, con tecnica a scivolamento (MIPO). Le guide di allineamento infatti consentono il posizionamento percutaneo delle viti prossimali 9 (Fig 2. A-B).
La fissazione con un chiodo endomidollare è generalmente usata per fratture extra-articolari e fratture intra-articolari semplici o minimamente comminute. Questo impianto consente di fissare la frattura con un ridotto insulto dei tessuti molli e dell’apporto arterioso endostale provvedendo e una distribuzione dei carichi ottimale al fine di permettere molto spesso un carico precoce. Le complicazioni possono derivare da un disallineamento della frattura a causa di una riduzione insufficiente della riduzione della frattura, di un punto di partenza inadeguato o di un alesaggio eccentrico.
Gli studi biomeccanici condotti da Zlowodski et al. dimostrano una resistenza assiale simile tra l’inchiodamento intramidollare e la fissazione della placca laterale. Infatti, anche le più recenti revisioni sistematiche e metanalisi non delineano una certa superiorità di un mezzo di sintesi rispetto e un altro 10. A riguardo, non esistono nella letteratura moderna linee guida universalmente riconosciute. Infatti in alcuni casi il chirurgo si può trovare a scegliere tra differenti tipi di sintesi anche in funzione di propria preferenza, seppur ovviamente guidato da razionale e indirizzi dettati dall’EBM.
Infine rimane ancora controverso, sulla tempistica dei trattamenti, la corretta gestione dei tessuti periferici, come ad esempio in caso di concomitanti importanti lesioni capsulo-legamentose. Del resto, la loro riparazione e/o ricostruzione primaria, risulta più difficile in presenza di una frattura e di dispositivi di fissazione interna e perciò, molto spesso infatti viene rimandata e un secondo intervento.
Il percorso post-operatorio, come detto, secondo le più recenti evidenze, deve puntare e una mobilizzazione precoce e un carico quasi immediato, seppur con ausilii, specialmente in caso di una sintesi stabile e in condizioni di qualità ossea accettabile.
CAPITOLO 67Bibliografia.
-
Myers P, Laboe P, Johnson KJ, et al. Patient mortality in geriatric distal femur fractures. J Orthop Trauma. 2018;32(3):111-5. doi: 10.1097/BOT.0000000000001078.
-
Perelli S, Coelho A, Morales-Avalos R, et al. Condylar and supracondylar fracture. In: Orthopaedic Sports Medicine: An Encyclopedic Review of Diagnosis, Prevention, and Management. Cham: Springer International Publishing 2023. pp. 1-14.
-
Bachim A, Harper NS. Fractures and skeletal injuries. In: A Practical Guide to the Evaluation of Child Physical Abuse and Neglect. 2019. pp. 133–94.
-
Burns Z, Khasnabish S, Hurley AC, et al. Classification of injurious fall severity in hospitalized adults. J Gerontol A Biol Sci Med Sci. 2020;75(10):e138-44. doi: 10.1093/gerona/glaa004.
-
Imam MA, Torieh A, Matthana A. Double plating of intra-articular multifragmentary C3-type distal femoral fractures through the anterior approach. Eur J Orthop Surg Traumatol. 2018;28:121–30. doi: 10.1007/s00590-017-2014-9.
-
Reynolds A. The fractured femur. Radiol Technol. 2013;84(3):273-91.
-
Zlowodzki M, Bhandari M, Marek D, et al. Operative treatment of acute distal femur fractures: systematic review of 2 comparative studies and 45 case series (1989 to 2005). J Orthop Trauma. 2017;20(5):366-71. doi: 10.1097/00005131-200605000-00013.
-
Wolinsky PR, Lucas JF. Reduction techniques for diaphyseal femur fractures. J Am Acad Orthop Surg. 2017;25(11):e251-60. doi: 10.5435/JAAOS-D-17-00021.
-
Lupescu O, Nagea M, Patru C, et al. Treatment options for distal femoral fractures. Maedica (Bucur). 2015;10(2):117-21.
-
Zlowodzki M, Williamson S, Cole PA, et al. Biomechanical evaluation of the less invasive stabilization system, angled blade plate, and retrograde intramedullary nail for the internal fixation of distal femur fractures. J Orthop Trauma. 2004;18(8):494-502. doi: 10.1097/00005131-200409000-00004.
