Trattamento e complicanze della triade terribile
Sapienza Università di Roma; UOC Ortopedia e Traumatologia, Ospedale S. Camillo Forlanini, Roma
INTRODUZIONE
La “terribile triade” è un particolare pattern di frattura-lussazione del gomito, così denominata inizialmente a causa dell’alto tasso di risultati insoddisfacenti. La terribile triade si inquadra all’interno dell’instabilità acuta complessa del gomito (associazione di lesioni ossee, capsulo-legamentose e tendinee dovute a un trauma). La terribile triade è costituita da una frattura del capitello radiale, da una frattura della coronoide anterolaterale e dalla lesione del legamento collaterale laterale, a cui si associa talvolta anche la lesione del legamento collaterale mediale e dei tendini epicondiloidei ed epitrocleari.
Una chiara comprensione dell’anatomia e biomeccanica di questa articolazione, sono essenziali nella gestione chirurgica di questa lesione 1. Obbiettivo principale del trattamento è ripristinare la stabilità articolare per consentire una precoce mobilizzazione, evitando l’insorgenza di rigidità secondaria a una lunga immobilizzazione.
MECCANISMO TRAUMATICO
La terribile triade del gomito può essere causata da traumi ad alta o bassa energia. Circa il 60% di queste lesioni derivano da un trauma indiretto trasmesso dal polso al gomito che si verifica in seguito a una caduta accidentale in terra con la mano atteggiata a difesa. In particolare, la terribile triade appartiene a quel gruppo di lesioni che derivano dal meccanismo traumatico dell’instabilità postero-laterale dove la combinazione di un carico assiale, in valgo e rotazione interna dell’omero rispetto all’avambraccio fissato al suolo determina una sequenza di lesioni che partono dal lato esterno del gomito per terminare sulla cerniera capsulo-legamentosa mediale. Questo modello di lesione è stato descritto per la prima volta da O’Driscoll come “Circolo di Horii”.
CLASSIFICAZIONE
Fratture della coronoide
Il primo sistema di classificazione fu proposto da Morrey nel 1989: la classificazione di Regan-Morrey divide le fratture della coronoide in 3 tipi in base all’altezza del frammento coronoideo visto su una radiografia in proiezione laterale.
-
Tipo 1: frattura dell’apice coronoideo;
-
Tipo 2: frattura estesa a meno del 50% della altezza della coronoide;
-
Tipo 3: frattura estesa a più del 50% della coronoide 2.
Nel 2003 O’Driscoll 3 ha proposto una classificazione che considera maggiormente la forma tridimensionale della coronoide, ponendo particolare attenzione alle fratture della regione anteromediale di questo processo osseo.
-
Tipo 1: frattura dell’apice della coronoide:
-
sub-1: frammento < 2mm;
-
sub-2: frammento < 2mm.
-
Tipo 2: frattura della faccetta anteromediale:
-
Sub-1: frattura del bordo coronoideo anteromediale;
-
sub-2: bordo anteromediale + apice;
-
sub-3: bordo anteromediale + tubercolo sublime.
-
Tipo 3: fratture della coronoide basale:
-
sub-1: frattura coronoide basale;
-
sub-2: associazione con frattura-lussazione transolecranica.
In seguito, Morrey ha completato la sua classificazione distinguendo le fratture oblique anterolaterali e anteromediali. La frattura tipica della terribile triade è una frattura dell’apice o di tipo 2 antero-laterale.
Fratture del capitello radiale
Il sistema di classificazione più noto è quello di Mason, proposto nel 1954 4:
-
Tipo 1: frattura composta del capitello radiale;
-
Tipo 2: frattura scomposta marginale della circonferenza radiale (“partial head”);
-
Tipo 3: frattura scomposta a più frammenti che coinvolge tutto il capitello radiale (“whole head”).
Successivamente, Broberg e Morrey 5 hanno modificato la classificazione di Mason per migliorarne il valore prognostico e guidare maggiormente la scelta terapeutica:
-
Tipo 1: frattura composta con scomposizione <2 mm, (trattamento conservativo);
-
Tipo 2: frattura con scomposizione >2 mm o angolazione a livello del collo >30°;
-
Tipo 3: frattura comminuta e scomposta di tutto il capitello o frattura completamente scomposta a livello del collo.
Sebbene la classificazione di Mason, con le successive modifiche apportate da altri Autori, rimanga la classificazione più universalmente utilizzata per la sua semplicità, allo stato attuale altri fattori, non considerati in questa classificazione, guidano il trattamento e la prognosi di queste lesioni; in particolare, la qualità e numero dei frammenti, la stabilità del focolaio di frattura, la comminuzione della giunzione capitello/collo, il coinvolgimento dei diversi quadranti della circonferenza radiale, l’associazione con altre lesioni del gomito come le fratture della coronoide e le rotture del LCM rappresentano i fattori che più condizionano la scelta del trattamento.
Lesioni legamentose
Il tipo di lesione più comune del LCL è un distacco dell’inserzione prossimale a livello omerale, con o senza lesione del corpo del legamento. Più rare sono le lesioni isolate del corpo del legamento e i distacchi distali dalla cresta del supinatore. Lo stesso tipo di lesioni è stato osservato nelle lesioni del LCM. Frequentemente la disinserzione dei legamenti strappa una bratta ossea dal punto di inserzione, talvolta di dimensioni significative. Nella terribile triade sono frequenti anche le lesioni della capsula posterolaterale, dei muscoli epicondiloidei, del tendine dell’anconeo e dei muscoli epitrocleari 6.
OBIETTIVITÀ CLINICA
È fondamentale eseguire un esame clinico mirato, valutando la presenza di deformità, tumefazioni, ecchimosi e lesioni cutanee. Inoltre, dovrebbe sempre essere eseguito un approfondito esame neurologico, e qualsiasi compromissione neuro-vascolare dovrebbe essere chiaramente documentata prima e dopo qualsiasi manovra di riduzione o l’applicazione di un gesso. Infine, è importante valutare la presenza di dolore o altri sintomi/segni a carico delle articolazioni adiacenti (polso e spalla).
VALUTAZIONE STRUMENTALE
Le radiografie anteroposteriori e laterali del gomito dovrebbero essere eseguite prima e dopo la riduzione. Una volta eseguite le radiografie e diagnosticata una terribile triade del gomito, dopo la riduzione è sempre necessario eseguire una tomografia computerizzata (TC) poiché ciò aumenta l’accuratezza della classificazione e, grazie a una migliore valutazione tridimensionale delle lesioni presenti, fornisce importanti indicazioni per la pianificazione preoperatoria.
TRATTAMENTO
Trattamento conservativo
La terribile triade può essere raramente trattata conservativamente. Sono state suggerite 7 quattro condizioni che, se soddisfatte, potrebbero consentire una gestione conservativa e raccomandare un protocollo simile al trattamento di una lussazione semplice del gomito:
-
congruenza nelle RX e sulla TC dopo riduzione chiusa, con distanza omero-ulnare <4 mm sulla radiografia laterale (assenza del “drop sign”).
-
Frattura limitata all’apice coronoideo (Regan-Morrey tipo 1).
-
Nessun blocco in prono-supinazione dovuto alla frattura del capitello radiale che deve apparire di tipo I.
-
Gomito stabile tra i 40°-130° di flessione dopo la riduzione.
Quando la terribile triade è trattata conservativamente, sono necessari stretti follow-up per accertarsi che la congruenza venga mantenuta nel tempo. In tal caso, dovrebbero essere iniziati precocemente (entro 2 settimane) i primi esercizi per il recupero dell’escursione articolare privilegiando il movimento attivo.
Trattamento chirurgico
Le indicazioni al trattamento chirurgico includono:
-
articolazione omero-ulnare o omero-radiale incongruenti e marcata instabilità articolare dopo la riduzione;
-
frattura scomposta o affondata del capitello radiale, presenza di blocchi meccanici in rotazione;
-
frattura coronoidea scomposta estesa oltre il tip (tipo 2 e tipo 3) con estensione della frattura alla faccetta semilunare per il capitello radiale o alla base della coronoide.
Per quanto riguarda le lesioni legamentose, è possibile eseguire un esame fluoroscopico con/senza anestesia per valutare in varo-valgo stress la tenuta dei legamenti collaterali e il mantenimento della congruenza articolare durante il movimento di flesso-estensione. L’instabilità in varo e valgo può essere dimostrata da un aumento >1-2 mm dello spazio articolare sotto stress. L’instabilità rotatoria posterolaterale (PLRI) può essere dimostrata dalla sublussazione della testa radiale postero-lateralmente durante il pivot-shift test.
Vie chirurgiche
Sebbene siano descritti molteplici tipi di incisioni cutanee sul gomito, la singola incisione longitudinale posteriore garantisce l’accesso a entrambi i compartimenti (mediale e laterale) dell’articolazione.
L’accesso profondo laterale maggiormente utilizzato è quello di Kocher, che si sviluppa tra l’anconeo e l’estensore ulnare del carpo. Tramite questo accesso è possibile ispezionare tutto il LCL. Questa via chirurgica consente la gestione della maggior parte delle fratture anterolaterali della coronoide, delle fratture del capitello radiale e delle lesioni del LCL.
Quando è necessario esporre il compartimento mediale per la riparazione del LCM e di particolari fratture della coronoide, si esegue l’accesso mediale “over the top” descritto da Hotchkiss, che si sviluppa anteriormente al capo omerale del flessore ulnare del carpo. In alternativa, può essere eseguito un accesso “FCU split” che si sviluppa tra il capo omerale e ulnare del flessore ulnare del carpo. Tali accessi richiedono l’individuazione e talvolta l’isolamento del nervo ulnare, che decorre, appunto, tra i due capi del flessore ulnare del carpo.
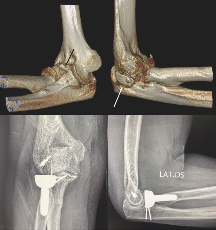
Osteosintesi della coronoide
Le piccole fratture dell’apice coronoideo che non includono l’inserzione capsulare possono non essere trattate chirurgicamente. Quando l’osteosintesi di un piccolo frammento coronoideo non è tecnicamente possibile, è consigliato eseguire una capsulodesi anteriore mediante un’osteosutura per incrementare la stabilità del gomito. Nelle fratture con frammenti di maggiori dimensioni, è possibile eseguire l’osteosintesi con fili filettati retrogradi (Fig. 1) o viti a compressione. Nelle fratture pluriframmentarie di tipo 3, può essere necessario associare la sintesi con placca per via mediale.
Fratture del capitello radiale
Nel gomito instabile, in cui sono presenti lesioni legamentose, è fondamentale rispristinare la funzione del capitello radiale (stabilizzatore secondario) per garantire la congruenza articolare e proteggere le strutture riparate (legamenti) durante i processi di guarigione. Per questi motivi è sconsigliato eseguire la sola capitellectomia. Nel caso di fratture marginali (<20%) è possibile eseguire solo l’escissione dei frammenti quando non sono sintetizzabili. Nel caso di fratture che coinvolgono la circonferenza radiale (Mason II), in cui i frammenti non risultano comminuti, è possibile eseguire l’osteosintesi con viti libere senza testa. Nel caso di fratture con affondamento della giunzione testa-collo è necessario risollevare la testa ed eseguire l’osteosintesi con placca dedicata. Nelle fratture pluriframmentarie “whole head”, quando i frammenti appaiono ricostruibili, è possibile eseguire l’osteosintesi con placca, con o senza l’aggiunta di viti libere interframmentarie. In tutte le fratture non ricostruibili è necessario eseguire la sostituzione protesica (Fig. 2).
Riparazione dei tessuti molli
Il LCL è tipicamente avulso dalla sua origine omerale, insieme alla capsula posterolaterale e al tendine dell’anconeo, anche se meno comunemente può presentare una lacerazione nel corpo legamentoso o un’avulsione all’inserzione ulnare. La riparazione può essere effettuata utilizzando ancore di sutura o suture transossee 8.
Il LCM deve essere trattato chirurgicamente qualora persista l’instabilità dopo l’osteosintesi della coronoide, del capitello radiale (o sostituzione protesica) e la riparazione del LCL. La riparazione, anche in questo caso, viene eseguita con ancore di sutura. Se dopo questo passaggio l’instabilità continua a persistere, è indicato l’utilizzo di un fissatore interno o esterno dinamico.
Riabilitazione
Si consiglia generalmente un breve periodo di immobilizzazione con una valva in vetroresina e bendaggio elastico per ridurre l’edema post-operatorio e consentire la guarigione cutanea. Dopo 7-14 giorni viene generalmente iniziata la mobilizzazione attiva, eventualmente limitando l’escursione articolare negli ultimi gradi di estensione nelle prime 3-4 settimane per proteggere la coronoide. Si consiglia di eseguire la fisioterapia in posizione “overhead” nelle prime 4-6 settimane. È consigliato utilizzare un tutore articolato per favorire il comfort ed evitare sollecitazioni in varo/valgo. Il tutore può essere rimosso dopo 6 settimane. Infine, il paziente deve evitare per almeno 3-4 mesi di sollevare pesi, appoggiarsi, trazionare o spingere con l’arto operato.
RISULTATI
Gli attuali protocolli diagnostici e terapeutici consentono di ottenere risultati clinici soddisfacenti nella maggior parte dei casi, sebbene persistano ancora un significativo numero di complicanze. La scarsa collaborazione del paziente, l’obesità e l’esteso danno ai tessuti molli del gomito causato da traumi ad alta energia rappresentano i principali fattori prognostici negativi non evitabili che conducono a cattivi risultati. La rigorosa applicazione degli attuali algoritmi diagnostici e terapeutici consente, al contrario, di evitare altri fattori prognostici negativi individuati in letteratura, quali il riconoscimento incompleto delle lesioni, il trattamento ritardato, il trattamento inadeguato delle lesioni ossee e legamentose e l’immobilizzazione prolungata 9.
COMPLICANZE
Il tasso medio di complicanze riportato in letteratura, in seguito al trattamento chirurgico della terribile triade, si attesta attorno al 20%, con una significativa variabilità tra i diversi studi pubblicati. Le complicanze più comuni in seguito a una terribile triade del gomito sono rappresentate dalle ossificazioni eterotopiche (11%), dalla neuropatia ulnare (4%), artrosi post-traumatica (2%), rigidità (2%), pseudoartrosi del capitello radiale (quando viene eseguita l’osteosintesi, 1%), infezioni (1%), instabilità cronica (1%), sinostosi radio-ulnari prossimali (0,5%). Il tasso medio di reinterventi riportato in letteratura è dell’8% 10.
CAPITOLO 47Bibliografia.
-
Giannicola G, Sacchetti FM, Greco Aet al. Management of complex elbow instability. Musculoskelet Surg. 2010 May:94 Suppl 1:S25-36.
-
Regan W, Morrey B. Fractures of the coronoid process of the ulna. J Bone Joint Surg Am. 1989 Oct;71(9):1348-54.
-
O’Driscoll SW, Jupiter JB, Cohen MS, et al. Difficult elbow fractures: pearls and pitfalls. Instr Course Lect 2003;52: 113-34.
-
Mason M.L. Some observations on fractures of the head of the radius with a review of one hundred cases senior orthopedic registrar South-East Kent, Canterbury, and isle of Thanet groups or hospitals. Available from: https://academic.oup. com/bjs/article/42/172/123/6233327.
-
Broberg MA, Morrey BF. Results of treatment of fracture-dislocations of the elbow. Clin Orthop Relat Res 1987 Mar;(216):109–19.
-
Giannicola G, Polimanti D, Sacchetti FM, et al. Soft tissue constraint injuries in complex elbow instability: prevalence, pathoanatomy, and classification. Orthopedics. 2012 Dec;35(12):e1738-45. doi: 10.3928/01477447-20121120-18.
-
Chan K, MacDermid JC, Faber KJ,et al. Can we treat select terrible triad injuries nonoperatively? Clin Orthop Relat Res. 2014 Jul;472(7):2092-9. doi: 10.1007/s11999-014-3518-9.
-
Giannicola G, Polimanti D, Sacchetti FM,et al. Soft tissue constraint injuries in complex elbow instability: surgical techniques and clinical outcomes. Orthopedics. 2012 Dec;35(12):e1746-53. doi: 10.3928/01477447-20121120-19.
-
Giannicola G, Calella P, Piccioli A, et al. Terrible triad of the elbow: is it still a troublesome injury? Injury. 2015 Dec;46 Suppl 8:S68-76. doi: 10.1016/S0020-1383(15)30058-9.
-
Stambulic T, Desai V, Bicknell R,et al. Terrible triad injuries are no longer terrible! Functional outcomes of terrible triad injuries: a scoping review. JSES Rev Rep Tech. 2022 Feb 12;2(2):214-218. doi: 10.1016/j.xrrt.2022.01.002
