Osteotomie acetabolari e del femore prossimale
Dipartimento di Scienze Chirurgiche, Università degli Studi di Torino, Torino
INTRODUZIONE
Le osteotomie sono procedure volte a trattare alcune alterazioni dell’anca, per cui vanno scelte a seconda della patologia da trattare. Seppure siano state studiate principalmente nell’ambito dell’ortopedia pediatrica, possono essere applicate anche nella patologia dell’adulto.
DISPLASIA CONGENITA DELL'ANCA1-6
La displasia congenita dell’anca (DCA) è una condizione clinica eterogenea con un’alterazione della normale struttura e biomeccanica articolare, in particolare una ridotta copertura acetabolare. Le osteotomie offrono una buona correzione della deformità, anche se la scelta del tipo è vincolato da indicazioni ben precise, tra cui la chiusura o meno della cartilagine triradiata dell’acetabolo. Essendo procedure con alto rischio di complicanze, è importante selezionare accuratamente i pazienti, sia come quadro clinico che come richieste funzionali.
La radiografia tradizionale è la metodica di riferimento e permette di calcolare determinati parametri in modo da definire non solo il grado di displasia ma anche il trattamento ottimale. Le proiezioni indicate sono la antero-posteriore (AP), AP con arto in abduzione per verificare il mantenimento(miglioramento della congruenza articolare, la falso profilo di Lequesne, la proiezione di Dunn. Nei casi più complicati è di aiuto una pianificazione con TC e lo studio di eventuali patologie intrarticolari associate con RM (lesioni condrali, lesioni del labbro e impingement femoro-acetabolare).
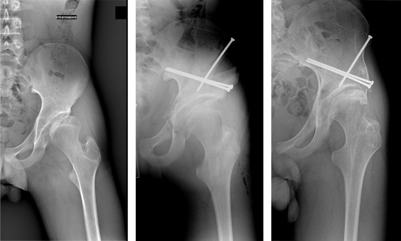
Le osteotomie principali nel trattamento della DCA sono quella periacetabolare (PAO) e quella di femore prossimale (PFO). La PAO prevede l’esecuzione di quattro tagli così da permettere la mobilizzazione e il riorientamento dell’acetabolo, aumentandone la copertura e la congruenza articolare, mentre la PFO mira a riorientare l’angolo cefalo-diafisario femorale e/o la sua versione.
Indicazioni per la PAO:
-
Età < 40 anni;
-
Adeguato ROM (flessione > 95°, abduzione > 30°);
-
BMI < 30Kg/m2;
-
Parametri radiografici indicativi di displasia (LCEA > 20°, AI > 10°, NSA < 120° o > 135°, extrusion index > 25°, fovea alta, interruzione della linea di Shenton, assenza di coxartrosi con grado di Tonnis 0-1, ACEA < 20°).
Valutazioni prima della PAO:
-
Patologia intrarticolare (lesioni del labbro o lesioni condrali);
-
Posizione della AIIS per un eventuale impingement post correzione;
-
Deformità cam-type a livello femorale;
-
Congruenza articolare intraoperatoria (associare anche PFO oppure osteocondroplastica della testa femorale).
Vista l’ampia varietà della displasia, spesso non si riesce a trattarla con la sola PAO, per cui è necessario associare anche una PFO. L’indicazione varia in base al reperto radiografico nelle proiezioni funzionali dell’anca (abduzione, flessione e intrarotazione).
Partendo dalla RX antero-posteriore possiamo valutare il deficit di copertura acetabolare e lo spazio articolare, per poi passare alle proiezioni funzionali.
-
Spazio articolare conservato + congruenza in abduzione (abd) → PAO;
-
Spazio articolare conservato + non congruenza in abd → Proiezione abd + intrarotazione (IR);
-
Congruenza → PAO + PFO;
-
Non congruenza → PFO + PAO;
-
Contenimento acetabolare ridotto + sublussazione → Proiezione in abd;
-
Congruenza → PAO;
-
Non congruenza → Proeizione abd + flex + IR
-
Congruenza → PAO + PFO;
-
Non congruenza → PAO + nuova proiezione abd + flex + IR con eventuale PFO se congruenza;
-
Congruenza acetabolare ridotta + minima perdita cartilaginea → Proiezione in abd;
-
Congruenza → PAO;
-
Non congruenza → PAO + nuova proiezione in abd;
-
Congruenza → + PFO varizzante;
-
Non congruenza → + PFO varizzante e in estensione se aumento della congruenza.
La decisione di eseguire come prima procedura la PAO sta nel fatto che nella maggior parte dei casi l’acetabolo displasico presenta un difetto di copertura a livello anteriore, laterale e superiore, per cui il riorientamento dello stesso può già di per sé garantire un miglioramento del quadro, anche se spesso non sufficiente.
La PAO si è dimostrata essere una valida procedura di chirurgia conservativa e la letteratura riporta una sopravvivenza del 75,9% a 10 anni e del 36,5% a 20 anni, dove l’endpoint era la conversione protesica.
DISPLASIA SECONDARIA DELL'ANCA NELLA PATOLOGIA NEUROMUSCOLARE7,8
Le patologie neuromuscolari sono quadri estremamente variabili che si ripercuotono indirettamente anche sull’anca, in quanto l’alterato tono muscolare determina conseguente alterazione del carico e dello sviluppo articolare. La progressiva migrazione della testa femorale porta non solo a una displasia secondaria ma anche a un maggiore rischio di sublussazione o lussazione dell’anca. Il quadro clinico globale varia notevolmente, così come l’impatto funzionale della deformità dell’anca. Una delle cause più diffuse è la paralisi cerebrale infantile (PCI). Esistono pazienti deambulanti e pazienti non deambulanti, per cui l’indicazione a eventuale intervento chirurgico varia a seconda delle necessità quotidiane. La correzione della deformità può essere ottenuta per ridurre il dolore alla deambulazione o semplicemente alla posizione seduta, soprattutto per i non deambulanti, o ancora per consentire la mobilizzazione dell’anca per l’igiene personale.
La valutazione principale resta quella clinica con radiografie standard di bacino (antero-posteriore e assiale) che ci permette di classificare il grado di displasia e sublussazione dell’anca, oltre che la maturità scheletrica.
Durante l’età di accrescimento pre-pubere il trattamento principale consiste nell’osteotomia varizzante e derotativa di femore prossimale (VDRO) che può eventualmente essere associata a osteotomia triplice in caso di scarsa copertura acetabolare. La VDRO può essere associata a tenotomie accessorie come degli adduttori o degli ischio-crurali. L’osteotomia triplice acetabolare consente di riorientare l’acetabolo senza interrompere la cartilagine triradiata. In caso di scarsa compliance è raccomandato il confezionamento di uno spica cast da mantenere nel primo periodo post-operatorio.
MORBO DI LEGG-CALVÈ-PERTHES5,9,10
L’osteocondrosi dell’epifisi prossimale di femore è chiamata Morbo di Legg-Calvè-Perthes (LCPD). È causata da un alterato apporto vascolare all’epifisi femorale la cui causa è sconosciuta. La conseguenza è un importante rimaneggiamento strutturale dell’anca e rischio di perdita di sfericità della testa femorale. La gravità della deformità, l’età d’esordio e la precocità di trattamento impattano fortemente l’outcome finale.
Pazienti con esordio tardivo e grave deformità non trattata sviluppano coxa magna e displasia acetabolare secondaria. Questo determina un’alterazione funzionale dell’articolazione con uno sviluppo precoce di coxartrosi.
La valutazione deve essere non solo clinica (eterometrie, Trendelenbug e limitazione del ROM) ma soprattutto radiografica. La radiografia standard ci permette di inquadrare le alterazioni a livello dell’anca e le proiezioni funzionali aiutano nella pianificazione chirurgica. La TC con ricostruzioni 3D e l’utilizzo di modellini realizzati sulla base di questa permette un ancora più accurato planning, mentre la RM aggiunge informazioni circa eventuali patologie intrarticolari concomitanti.
In pazienti giovani (> 6 anni) il trattamento di scelta può essere incruento mediante ortesi in abduzione oppure chirurgico con VDRO. L’obiettivo del trattamento chirurgico e contenere la testa femorale nell’acetabolo per permettere una corretto rimodellamento osteo-cartilagineo.
In pazienti con esordio tardivo in cui il rimodellamento residuo è minore, l’obiettivo del trattamento è ripristinare la congruenza articolare e correggere la displasia acetabolare secondaria. In questo caso la PAO e la PFO hanno un ruolo nel trattamento della deformità e a queste si aggiungono anche l’osteotomia di riduzione della testa femorale (FHRO) per quei casi in cui si è già instaurata una coxa magna o l’allungamento relativo del collo femorale (RFNL) in caso di grande trocantere pronunciato o di collo femorale corto.
-
Displasia acetabolare + patologia extrarticolare → Valutazione abduzione;
-
Abd < 20° → PFO ± RFNL + PAO;
-
Abd > 20° → PAO + PFO ± RFNL;
-
Displasia acetabolare + patologia intrarticolare →;
-
Testa asferica ma congruente in abduzione → PAO + RFNL;
-
Testa asferica ma congruente in adduzione → PAO + PFO valgizzante;
-
Coxa plana/magna ± necrosi centrale → PFO (RFNL + FHRO) + PAO.
La valutazione preoperatoria e la stadiazione della patologia sono fondamentali per predire la sopravvivenza dell’anca nel lungo termine. La letteratura riporta che pazienti giovani nella fase iniziale della malattia e con una buona congruenza presentavano un’anca senza segni di artrosi a 25 anni dall’intervento in 2 casi su 3, confermando quindi che la diagnosi precoce è il vero fattore prognostico favorevole.
La combinazione di procedure per incrementare la congruenza dell’anca è stata anche questa studiata ed è dimostrato come FHRO + PAO nel follow-up a breve termine si è dimostrato un valido trattamento con assenza di conversione protesica e di ulteriori riprese chirurgiche a 5 anni, come altri dati di letteratura.
CAPITOLO 60Bibliografia.
-
Schmitz MR, Murtha AS, Clohisy JC, et al. Developmental Dysplasia of the Hip in Adolescents and Young Adults. J Am Acad Orthop Surg. 2020 Feb 1;28(3):91-101. doi: 10.5435/JAAOS-D-18-00533.
-
Gala L, Clohisy JC, Beaulé PE. Hip Dysplasia in the Young Adult. J Bone Joint Surg Am. 2016 Jan 6;98(1):63-73. doi: 10.2106/JBJS.O.00109.
-
Millis MB, McClincy M. Periacetabular osteotomy to treat residual dysplasia in adolescents and young adults: Indications, complications, results. J Child Orthop. agosto 2018;12(4):349–57. doi: 10.1302/1863-2548.12.180068.
-
Chen M, Shang XF. Surgical treatment for young adult hip dysplasia: joint-preserving options. Int Orthop. 2016 May;40(5):891-900. doi: 10.1007/s00264-015-2927-z. Epub 2015 Jul 28.
-
Ganz R, Horowitz K, Leunig M. Algorithm for Femoral and Periacetabular Osteotomies in Complex Hip Deformities. Orthop Relat Res. 2010 Dec;468(12):3168-80. doi: 10.1007/s11999-010-1489-z.
-
Tan JHI, Tan SHS, Rajoo MS, et al. Hip survivorship following the Bernese periacetabular osteotomy for the treatment of acetabular dysplasia: A systematic review and meta-analysis. rthop Traumatol Surg Res. 2022 Jun;108(4):103283. doi: 10.1016/j.otsr.2022.103283. Epub 2022 Apr 22.
-
Chen K, Wu J, Shen C, et al. Periacetabular osteotomy with or without femoral osteotomy for the treatment of hip subluxation in children and young adults with cerebral palsy. Musculoskelet Disord. 2022 Aug 25;23(1):809. doi: 10.1186/s12891-022-05754-3.
-
Al-Ghadir M, Masquijo JJ, Guerra LA, et al. Combined Femoral and Pelvic Osteotomies Versus Femoral Osteotomy Alone in the Treatment of Hip Dysplasia in Children With Cerebral Palsy. J Pediatr Orthop. ottobre 2009;29(7):779–83. doi: 10.1097/BPO.0b013e3181b76968.
-
Aydin BK, Sofu H, Konya MN, et al. Clinical and Radiographic Outcomes after Femoral Varus Derotation Osteotomy for Legg-Calvé-Perthes Disease at 25 Years Follow-Up: What are the Determinants of Outcome in the Long Term? HIP Int. 16 maggio 2016;26(3):301–6. doi: 10.5301/hipint.5000329. Epub 2016 Feb 8.
-
Gharanizadeh K, Ravanbod H, Aminian A, et al. Simultaneous femoral head reduction osteotomy (FHRO) combined with periacetabular osteotomy (PAO) for the treatment of severe femoral head asphericity in Perthes disease. hop Surg Res. 2022 Oct 20;17(1):461. doi: 10.1186/s13018-022-03351-7.
