Ginocchio varo e valgo
Dipartimento di Scienze Cliniche e Medicina Traslazionale, Università degli studi di Roma Tor Vergata; UOC Ortopedia, Policlinico Universitario Tor vergata
INTRODUZIONE
Il ginocchio varo e valgo rappresentano deviazioni degli arti inferiori, non sempre patologiche, che vengono comunemente analizzate mediante la valutazione dell’angolo formato dall’asse del femore e quello della tibia sul piano frontale (angolo femoro-tibiale) che, nel soggetto normale, misura fra 0° e 5°. Tale angolo generalmente ha un valore medio lievemente maggiore nel sesso femminile. Nel ginocchio varo si verifica una diminuzione dell’angolo femoro-tibiale e clinicamente si osserva una aumentata distanza intercondiloidea femorale interna, mentre nel ginocchio valgo l’angolo aumenta e clinicamente è presente una aumentata distanza intermalleolare interna. Tali deformità vanno valutate sia dal punto di vista clinico che radiografico; soltanto in casi particolari possono essere necessari esami strumentali di secondo livello. La valutazione clinica deve sempre analizzare l’aspetto generale del bambino, la statura, il peso, le escursioni articolari delle articolazioni dell’arto inferiore, l’antiversione femorale, la torsione tibiale, l’aspetto dei piedi e l’eventuale presenza di lassità legamentosa patologica. Oltre alla valutazione clinica è importante l’analisi radiografica che va eseguita mediante lo studio del bacino e degli arti inferiore in proiezione antero-posteriore, possibilmente in ortostatismo. L’esame radiografico permette di misurare l’asse meccanico e l’asse anatomico degli arti inferiori. L’asse meccanico è la linea che connette il punto centrale della testa del femore e il punto centrale dell’articolazione tibio-tarsica passando per il centro del ginocchio, mentre l’asse anatomico è costituito dall’asse anatomico del femore e della tibia che formano l’angolo femoro-tibiale. La deviazione in varismo o in valgismo dell’asse meccanico è la distanza in millimetri, verso l’interno o verso l’esterno fra il centro dell’articolazione del ginocchio e il punto di passaggio dell’asse meccanico. L’asse anatomico viene invece valutato dalla semplice misurazione dell’angolo femoro-tibiale.
Alla nascita il neonato presenta un ginocchio generalmente varo che tuttavia, nel corso della crescita, si corregge alla fine del primo anno di età per trasformarsi successivamente in ginocchio valgo con un picco di deviazione intorno ai tre anni. Negli anni successivi si verifica generalmente un’auto correzione spontanea fino 6-8 anni di età 1,2.
L’allineamento fisiologico degli arti inferiori è cruciale per una corretta distribuzione del peso corporeo sulle superfici articolari, soprattutto delle ginocchia. Un significativo disallineamento sul piano frontale degli arti inferiori può causare sintomatologia dolorosa a livello del ginocchio più frequente negli adolescenti e alterazioni della deambulazione, e può predisporre ad una degenerazione articolare precoce (gonartrosi).
GINOCCHIO VARO DELL'INFANZIA E DELL'ADOLESCENZA
La forma più comune è rappresentata dal ginocchio varo dell’infanzia, generalmente bilaterale e completamente asintomatico, caratterizzato da una persistenza della deformità dopo il primo anno di vita, con l’inizio della deambulazione. La patogenesi sembra correlata ad un transitorio alterato ritmo di ossificazione fra la porzione interna ed esterna delle cartilagini di accrescimento distale del femore e prossimale della tibia. Clinicamente è presente un incremento della distanza intercondiloidea interna che può essere più o meno accentuata e viene valutata in centimetri a livello del ginocchio (Fig. 1).
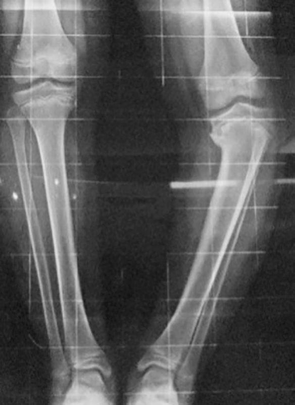
In questi casi, per escludere la presenza di altre patologie, è necessario praticare un esame radiografico del bacino e degli arti inferiori, nei bambini più piccoli anche fuori carico, per valutare oltre all’entità del varismo la coesistenza di patologie associate che interessano le cartilagini di accrescimento del ginocchio (Fig. 2).
L’esame obiettivo non evidenzia deficit articolari e di tipo neuromuscolare. La deambulazione può essere incerta e può favorire frequenti cadute che preoccupano i genitori, soprattutto quando si associa una intratorsione tibiale. La diagnosi differenziale deve essere posta essenzialmente con la malattia di Blount e con altre patologie più rare quali le osteocondrodisplasie e il rachitismo ipofosfatemico. Generalmente il ginocchio varo infantile presenta una risoluzione spontanea che si verifica nei due-tre anni successivi e non necessita di alcun tipo di trattamento. L’utilizzo di plantari o altri presidi ortopedici non modifica la storia naturale della patologia. Tuttavia, in alcuni casi la deformità persiste nel tempo in forma più o meno accentuata e tale evenienza viene spesso osservata nei casi con familiarità. Nelle rare forme gravi persistenti è necessario eseguire una correzione chirurgica.
Il varismo dell’adolescenza si manifesta durante il periodo di accelerato accrescimento peri-puberale e, analogamente alla forma infantile, è la conseguenza di uno squilibrio dell’attività delle cartilagini di accrescimento del ginocchio. Contrariamente alla forma infantile, in questi casi il varismo può essere sintomatico soprattutto durante le attività sportive. Anche in questi casi è necessaria una valutazione obiettiva clinica e radiografica che, oltre ad escludere la coesistenza di altre patologie, permette di misurare sotto carico l’entità esatta dell’angolo femoro-tibiale, in prospettiva di una eventuale correzione chirurgica. Il trattamento conservativo, anche in questa forma di ginocchio varo non trova alcuna indicazione, pertanto nelle forme più gravi, analogamente alle forme di ginocchio varo dell’infanzia che persiste negli anni, è necessaria la correzione chirurgica della deformità.
Il trattamento chirurgico viene generalmente praticato mediante emiepifisiodesi o mediante osteotomia correttiva. L’emiepifisiodesi è una procedura chirurgica che consiste nell’arrestare la cartilagine di accrescimento sul lato convesso della deformità, mantenendo l’accrescimento sul lato concavo, fino al riallineamento del segmento scheletrico affetto. Nel ginocchio varo viene transitoriamente bloccato l’accrescimento della cartilagine esterna distale del femore e prossimale della tibia per favorire il riallineamento mediante l’attività della porzione mediale della cartilagine. Tale opzione chirurgica è da preferire all’osteotomia nei pazienti scheletricamente immaturi in cui, ragionevolmente, è presente un periodo residuo di accrescimento di almeno 2 anni 3. Si preferisce tuttavia eseguire l’intervento in prossimità del termine dell’accrescimento per evitare ipercorrezioni iatrogene. L’emiepifisiodesi, che in passato veniva realizzata mediante l’utilizzo di cambre metalliche applicate a ponte della cartilagine di accrescimento, viene attualmente praticata mediante la tecnica descritta da Stevens 4 che ha proposto l’utilizzo di una piccola placca extraperiostale fissata con 2 viti, comunemente conosciuta come placca a 8 (8-plate), da applicare a ponte della cartilagine di accrescimento. Il vantaggio di questa metodica consiste nella facile applicazione mediante un’incisione limitata e un’agevole rimozione dopo aver ottenuto la correzione della deformità. Le possibili complicazioni, peraltro poco frequenti, sono rappresentate dall’insufficiente correzione, dall’ipercorrezione, dalla rottura delle viti, dalla prematura chiusura della cartilagine di accrescimento e dalla recidiva della deformità dopo la rimozione della placca.
Le osteotomie correttive sono indicate quando il paziente ha completato l’accrescimento scheletrico o nelle ultime fasi della maturità scheletrica, quando la cartilagine di accrescimento è prossima alla fusione. La correzione della deformità può essere ottenuta acutamente praticando un’osteotomia che viene effettuata a livello metafisario in corrispondenza del cosiddetto CORA (center of rotation angulation) 5 e generalmente stabilizzata con una placca avvitata. Nelle deformità particolarmente gravi oppure nelle deformità complesse, la correzione può anche essere ottenuta gradualmente, mediante l’utilizzo di un fissatore esterno, adottando, nei casi di deformità multiplanare, i moderni sistemi di fissazione esterna esapodalici 6. La correzione delle deformità praticate acutamente nelle forme gravi può essere complicata da danni neurologici periferici, soprattutto del nervo peroneale comune.
TIBIA VARA O MALATTIA DI BLOUNT
È una condizione patologica causata da una alterazione della crescita della porzione mediale della cartilagine di accrescimento prossimale della tibia 7, descritta per la prima volta da Blount nel 1937.
Vengono distinte due varietà, una forma più comune cosiddetta infantile che si presenta fra 2 e 6 anni di età ed una forma ad inizio tardivo, cosiddetta adolescenziale, più rara, che si presenta nel periodo peri-puberale. La varietà infantile si manifesta più frequentemente nei maschi e può essere bilaterale fino al 50% dei casi; viene osservata più di frequente nei bambini affetti da obesità e in alcuni casi in associazione ad anomalie di tipo metabolico. La forma adolescenziale è invece molto più rara, si manifesta dopo i 10 anni di vita, è generalmente monolaterale e come la forma precoce, prevale nei maschi, spesso obesi. È spesso associata ad un varismo distale del femore e ad un valgismo di compensazione a livello distale della tibia. L’aspetto istopatologico della cartilagine di accrescimento interessata mostra un’alterazione soprattutto dello strato sottostante le cellule a riposo in cui la tipica disposizione a colonne presenta un’architettura alterata con coesistente ispessimento dei setti di matrice extracellulare. Tale alterazione strutturale determina un rallentamento dei processi di ossificazione della parte mediale della cartilagine di accrescimento con conseguente deformità in varismo della tibia. Il quadro clinico è caratterizzato dalla presenza di una grave deformità in varismo della tibia generalmente associato ad una intratorsione dell’arto; può coesistere sintomatologia dolorosa del ginocchio (Fig. 3).
L’esame obiettivo non evidenzia deficit articolari e la deambulazione accentua la deformità; possono coesistere segni di lassità legamentosa. L’esame radiografico è fondamentale per la diagnosi di certezza della patologia ed evidenzia un varismo tibiale a livello metafisario prossimale associato ad un ritardo dell’ossificazione della porzione mediale del complesso metafiso-epifisario che presenta una tipica deformità “a becco” (Fig. 4).
L’aspetto radiografico descritto permette di differenziare tale affezione dal ginocchio varo dell’infanzia soprattutto nei casi iniziali della patologia. Nella malattia di Blount la deformità in varismo, nella maggioranza dei casi, tende progressivamente a peggiorare nel tempo se non adeguatamente corretta, contrariamente al varismo infantile. Il trattamento pertanto è spesso chirurgico basato sulla emiepifisiodesi con 8-plate da applicare sul versante esterno della cartilagine di accrescimento interessata con lo scopo di favorire la ripresa funzionale della porzione di cartilagine patologica 8. In alternativa o nei casi di insuccesso dopo epifisiodesi può essere eseguita un’osteotomia correttiva da praticare al di sotto della fisi con lo scopo di riallineare il segmento scheletrico e ridurre il sovraccarico sul versante mediale. La correzione può essere eseguita acutamente stabilizzando i frammenti ossei mediante placca e viti o fili metallici e apparecchio gessato. Tale procedura è da preferire nelle forme meno gravi mentre nelle forme gravi di varismo si preferisce dopo l’osteotomia, la correzione progressiva mediante l’utilizzo di un fissatore esterno (Fig. 5), eventualmente esapodalico, allo scopo di ridurre il rischio di lesione del nervo peroneo comune.
GINOCCHIO VALGO DELL'INFANZIA E DELL'ADOLESCENZA
Il ginocchio valgo dell’infanzia è molto più comune rispetto al ginocchio varo, si presenta generalmente intorno ai 3 anni di età, in forma bilaterale ed è asintomatico. La patogenesi, analogamente al ginocchio varo dell’infanzia, sembra correlata ad un transitorio alterato ritmo di crescita delle cartilagini di accrescimento del ginocchio, anche se in questi casi viene soprattutto interessata la cartilagine distale del femore. In questo caso la porzione mediale è più attiva rispetto a quella laterale. Clinicamente è presente un incremento della distanza intermalleolare interna più o meno evidente a livello delle caviglie e viene valutata in centimetri (Fig. 6).
L’esame obiettivo non evidenzia deficit articolari e di tipo neuromuscolare. La deambulazione può essere modicamente alterata soprattutto nelle forme gravi e può essere associato piede piatto lasso bilaterale. La diagnosi è clinica e in linea di massima non è necessario praticare indagini strumentali. La diagnosi differenziale deve essere posta essenzialmente con patologie molto meno frequenti come le osteocondrodisplasie, la malattia esostosante, l’encondromatosi multipla o affezioni endocrine. Come per il varismo infantile, generalmente presenta una risoluzione spontanea che si verifica entro il settimo/ottavo anno di vita e pertanto non necessita di alcun tipo di trattamento; l’utilizzo di plantari o altri presidi ortopedici non trovano nessuna indicazione. La risoluzione spontanea del ginocchio valgo va monitorata mediante controlli clinici annuali verificando la progressiva riduzione della distanza intermalleolare. In alcuni casi, tuttavia, la deformità può persistere nel tempo soprattutto nei casi familiari 9, oppure essere conseguente ad altre affezioni riportate nella diagnosi differenziale e, nei casi gravi può essere preso in esame un approccio chirurgico.
Il valgismo dell’adolescenza, contrariamente alla forma infantile, si manifesta durante il periodo prepuberale o puberale, tende a peggiorare nel tempo e spesso necessita di un trattamento chirurgico.
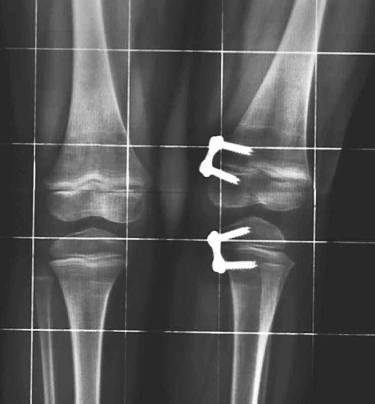
La procedura chirurgica correttiva, da effettuare nei casi persistenti, nelle forme adolescenziali e nei casi secondari ad altre patologie (come ad esempio affezioni genetiche, displasie ossee o patologie dismetaboliche (Fig. 7), prevede una emiepifisiodesi delle cartilagini di accrescimento coinvolte mediante placche a 8, allo scopo di bloccare l’accrescimento della cartilagine interna distale dell’osso e/0 prossimale della tibia e favorire il riallineamento del segmento scheletrico10 (Fig. 8).
Tale opzione chirurgica è da preferire all’osteotomia che tuttavia diventa necessaria nei casi di diagnosi tardiva in cui la cartilagine di accrescimento ha esaurito la sua funzione fisiologica. In questi casi la correzione dell’asse femorale può essere realizzata acutamente e stabilizzata con una placca avvitata, con modesto rischio di complicazioni.
CAPITOLO 15Bibliografia.
-
Salenius P, Vankka E. The development of the tibiofemoral angle in children. J Bone Joint Surg Am. 1975;57(2):259-61.
-
Heath CH, Staheli LT. Normal limits of knee angle in white children–genu varum and genu valgum. J Pediatr Orthop. 1993;13(2):259-62.
-
Gupta P, Gupta V, Patil B, Verma V. Angular deformities of lower limb in children: Correction for whom, when and how? J Clin Orthop Trauma. 2020;11(2):196-201. doi: 10.1016/j.jcot.2020.01.008. Epub 2020 Jan 27.
-
Stevens PM. Guided growth for angular correction: a preliminary series using a tension band plate. J Pediatr Orthop. 2007;27(3):253-9. doi: 10.1097/BPO.0b013e31803433a1. PMID: 17414005.
-
Paley D, Herzenberg JE, Tetsworth K, et al. Deformity planning for frontal and sagittal plane corrective osteotomies. Orthop Clin North Am. 1994;25(3):425-65.
-
Riganti S, Nasto LA, Mannino S, et al. Correction of complex lower limb angular deformities with or without length discrepancy in children using the TL-HEX hexapod system: comparison of clinical and radiographical results. J Pediatr Orthop B. 2019;28(3):214-220. doi: 10.1097/BPB.0000000000000573. PMID: 30531204.
-
Sabharwal S. Blount disease: an update. Orthop Clin North Am. 2015;46(1):37-47. doi: 10.1016/j.ocl.2014.09.002. Epub 2014 Oct 12.
-
Funk SS, Mignemi ME, Schoenecker JG, et al. Hemiepiphysiodesis Implants for Late-onset Tibia Vara: A Comparison of Cost, Surgical Success, and Implant Failure. J Pediatr Orthop. 2016;36(1):29-35. doi: 10.1097/BPO.0000000000000388. PMID: 25551783.
-
White GR, Mencio GA. Genu Valgum in Children: Diagnostic and Therapeutic Alternatives. J Am Acad Orthop Surg. 1995;3(5):275-283. doi: 10.5435/00124635-199509000-00003.
-
Carroll KL, Stotts AK, Pearson OC, et al. Patient-reported Outcomes of Adolescents Treated With Guided Growth to Correct Idiopathic Genu Valgum. J Pediatr Orthop. 2023;43(3):162-167. doi: 10.1097/BPO.0000000000002336. Epub 2023.
