Frattura isolata del capitello o dell’olecrano
Clinica Ortopedica e Traumatologica, Università di Modena e Reggio Emilia
Introduzione
Le fratture isolate di radio o ulna prossimali in pazienti con immaturità scheletrica coinvolgono solitamente la metafisi o la fisi. Raramente il capitello radiale presenta fratture isolate (1-2% delle fratture in età pediatrica) queste tipicamente si riscontrano a seguito di traumi nell’età compresa fra 8 e 12 anni 1; ancora più rare sono le fratture isolate di olecrano che risultano essere circa il 5% di tutte le fratture di gomito in età pediatrica 2. Più frequenti invece sono le fratture olecraniche associate a lussazioni di Monteggia 3.
Fratture isolate del radio prossimale
Tipicamente le fratture di radio prossimale si verificano a seguito di cadute a gomito esteso sottoposto a stress in valgo. La maggior parte di queste fratture coinvolgono la zona metafisaria del capitello, le fratture articolari sono molto rare in età pediatrica.
L’ossificazione del radio prossimale inizia a 5 anni di età con la comparsa di un piccolo nucleo di ossificazione piatto. La diagnosi di una frattura del capitello radiale può essere complessa in pazienti con fisi ancora aperte, spesso bisogna affidarsi allo studio comparativo o a segni indiretti di frattura quali ad esempio l’evidenza del cuscinetto adiposo anteriore che viene sollevato dal versamento intra-articolare e appare in proiezione laterale. Talvolta è necessario ricorrere a metodiche più sensibili quali la risonanza magnetica nucleare (RMN).
Non ci sono legamenti che si attaccano direttamente sulla testa o sul collo del radio, il legamento collaterale radiale si annette al legamento anulare che a sua volta origina dal lato radiale dell’ulna. Soltanto una piccola porzione del collo radiale sta all’interno della capsula articolare; infatti, essa protrude da sotto il legamento anulare a formare il recesso sacciforme. Questo implica che la frattura del collo non sempre produce un emartro rendendo evidenziabile il segno del cuscinetto adiposo 3.
Il distretto anatomico considerato è estremamente delicato: ricordiamo che la vascolarizzazione del radio prossimale giunge a livello metafisario quindi uno dei rischi di queste fratture è la necrosi avascolare del capitello radiale. è poi importante fare attenzione al nervo interosseo posteriore (NIP) che decorre nei pressi dell’epifisi prossimale del radio e potrebbe essere lesionato in questo tipo di fratture o a seguito di interventi manipolativi o chirurgici finalizzati alla riduzione delle stesse. Per proteggere il NIP è consigliabile effettuare tali gesti in condizioni di pronazione in modo da allontanarlo dal campo operatorio. è opportuno quindi testare prima e dopo manovre riduttive o interventi chirurgici sia la forza sia l’eventuale comparsa di dolore nella supinazione dell’avambraccio o durante l’estensione del polso e delle dita contro resistenza.
Classificazione di Chambers per le fratture di radio prossimale
Gruppo I: fratture del capitello radiale
- Fratture in valgo
Tipo A: frattura di Salter Harris tipo I o II
Tipo B: frattura di Salter Harris tipo IV, intra articolare
Tipo C: frattura trasversa o obliqua della metafisi prossimale radiale
- Fratture-lussazioni di gomito
Tipo D: scomposizione del capitello a seguito della riduzione di un episodio di lussazione di gomito. Solitamente con minime scomposizioni l’articolazione radio-ulnare prossimale è intatta, può essere compromessa in caso di scomposizioni più gravi.
Tipo E: dislocazione completa di capitello a seguito di lussazione di gomito.
Gruppo II: fratture scomposte del collo radiale
Mentre la testa rimane adesa all’articolazione radio-ulnare prossimale, forze torsionali o angolari portano ad una rottura o deformità del collo. Il trattamento in questi casi è quello di manipolare la frattura per ottenere la sua riduzione.
Gruppo III: fratture da stress
Si tratta di fratture legate a ripetuti micro traumatismi che disturbano la crescita sia del collo sia del capitello radiale. Questo può avvenire ad esempio a seguito di una attività sportiva nella quale l’arto superiore compie movimenti ripetuti (es. baseball, ginnastica). All’interno di questo gruppo rientrano anche i casi di osteocondrite dissecanti 3.
Trattamento
Il trattamento conservativo è indicato per la maggior parte delle fratture del radio prossimale. In età pediatrica sotto i 10 anni l’indicazione è ancora più ampia dal momento che ci si aspetta un’ampia possibilità rimodellante durante l’accrescimento. è indicato, tuttavia, uno stretto follow up per monitorare eventuali scomposizioni secondarie che potrebbero far cambiare l’indicazione al trattamento.
I criteri specifici per l’indicazione al trattamento conservativo sono i seguenti:
- scomposizione della testa o del collo inferiore a 2 mm;
- fratture composte ma con angolazione del collo radiale < 30° se età>10 anni, fratture composte ma con angolazione del collo radiale < 45° se età< 10 anni;
completa prono-supinazione dell’avambraccio.
Nel dubbio di una sublussazione non chiara ai raggi X è opportuno approfondire con ecografia o RMN.
Se si sceglie il trattamento conservativo il paziente deve essere immobilizzato da 1 a 3 settimane sulla base dell’entità del danno e dell’età, inizierà poi la mobilizzazione con il supporto di un tutore articolato seguendo l’indicazione di limitare la mobilizzazione alla comparsa di dolore.
In caso di scomposizione o angolazione eccessiva si deve prendere in considerazione una riduzione a cielo chiuso con lo scopo di riportare la frattura alle condizioni già menzionate.
Le tecniche di riduzione a cielo chiuso sono fra le più svariate, nessuna con risultati superiori alle altre, si basano sulla manipolazione dei due capi ossei per ottenere un riallineamento della frattura. L’anestesia generale o locale, favorendo il rilassamento del paziente, può aiutare l’ortopedico nella riduzione. La tecnica di Patterson prevede una manipolazione a due operatori con gomito esteso e supinato, in modo da rilassare il muscolo supinatore. Il gomito viene quindi trazionato e allo stesso tempo angolato in varo tramite la apposizione mediale di una mano che funge da fulcro, la pressione sulla testa del capitello radiale aiuterà infine a ridurre la frattura. Monson3 ha proposto invece una tecnica di riduzione a gomito flesso a 90° in supinazione. La posizione ottimale per una riduzione è il grado di rotazione che lateralizza maggiormente il capitello radiale cosicché la combinazione fra sollecitazione in varo e pressione esterna sul capitello radiale riduca la frattura. Allo stesso modo l’immobilizzazione post-riduzione sarà in pronazione o in supinazione in base alla rotazione in cui si ottiene la migliore riduzione.
Anche in caso di riduzione a cielo chiuso è opportuno favorire una veloce ripresa dell’articolarità fra 1 e 3 settimane.
Nei casi in cui il trattamento conservativo non sia indicato o non abbia portato i risultati sperati, è possibile intraprendere un trattamento chirurgico che può essere di vari tipi. Il paziente viene posizionato supino sul tavolo operatorio con l’arto superiore interessato che viene appoggiato sopra un tavolo radiotrasparente.
Il trattamento meno invasivo consiste nella riduzione a cielo chiuso della frattura e nella stabilizzazione con fili di Kirschner introdotti per via anterograda. In alternativa i fili di K possono essere puntati sul frammento di frattura ed essere usati come “joystick” per guidare la riduzione. Una volta raggiunto il risultato desiderato non è necessario lasciare i mezzi di sintesi in sede, può essere sufficiente un’immobilizzazione per 1-3 settimane in gesso chiuso, a meno che la riduzione non sia instabile.
Wallace ha proposto di utilizzare una leva di Jocker tra ulna e radio tramite un accesso a livello della tuberosità bicipitale, per sollevare il frammento distale di radio lateralmente mentre una controspinta viene applicata medialmente sul frammento prossimale, eventualmente utilizzando fili di K per fissare la riduzione ottenuta.
Un’alternativa di trattamento mininvasivo è costituita dalla riduzione e sintesi con chiodo endomidollare in titanio, inserito attraverso una via di accesso metafisaria distale. Questo chiodo viene angolato di 40° nei 3-4mm in punta così che una volta che il chiodo raggiunge il frammento di capitello o di collo si esegue una rotazione di 90°-180° sul chiodo stesso che riduce la frattura.
La decisione di effettuare un’osteosintesi con chiodi endomidollari o con fili di K è spesso legata all’esperienza del chirurgo, dagli studi pubblicati in letteratura sembra che non ci siano macroscopiche differenze cliniche e radiologiche nell’outcome dei pazienti trattati con queste due metodiche se non che si assiste ad un maggiore recupero del ROM nei pazienti trattati con inchiodamenento endomidollare 4.
Infine, le tecniche di riduzione e osteosintesi a cielo aperto utilizzabili per le fratture di radio prossimale sono quelle che utilizzano viti e placche sfruttando gli accessi di Kaplan o di Kocher. Se i mezzi di sintesi sono posizionati correttamente, non ci sono evidenze che le viti siano meglio delle placche nell’osteosintesi, tuttavia molti autori preferiscono le viti. A seguire sarà sufficiente l’immobilizzazione post-operatoria in una valva di protezione per 1-2 settimane.
Le tecniche chirurgiche e in particolare le tecniche open aumentano il rischio di lesioni del NIP, si tratta tuttavia di lesioni generalmente transitorie e l’esplorazione chirurgica non è in genere raccomandata.
Si osserva frequentemente una riduzione del range of motion a seguito di interventi con tecniche open; questo è dovuto sicuramente al tessuto cicatriziale post-traumatico e post chirurgico ma probabilmente anche ad un fenomeno di allungamento radiale che si verifica nel 20-40% di fratture nel capitello radiale, fenomeno percepibile anche con crepitazioni articolari durante le rotazioni 4. Diversi studi riportano una chiusura prematura della fisi a seguito di fratture del capitello radiale anche se nella maggior parte dei casi analizzati ciò non ha comportato risvolti clinici.
L’incidenza dei osteonecrosi si aggira fra il 10 e il 20%, altre possibili complicanze sono la guarigione in malallineamento, le pseudoartrosi, la mobilizzazione dei mezzi di sintesi, la sinostosi radio-ulnare 5.
Frattura isolata dell’ulna prossimale
L’ossificazione dell’ulna prossimale procede dapprima attraverso un nucleo di ossificazione che include il processo coronoideo, successivamente a partire dai 9 anni di età compare il nucleo di ossificazione olecranico a livello dell’inserzione tricipitale. A quel punto sarà completata l’ossificazione coronoidea mentre la fusione dell’epifisi olecranica con la metafisi avverrà a circa 14 anni. Raramente la linea della fisi olecranica è apprezzabile radiologicamente anche nell’adulto, questo può essere legato ad attività sportive con lanci ripetuti durante l’accrescimento.
L’apofisi olecranica è protetta dal tendine tricipitale che la avvolge e si inserisce distalmente ad essa, questo spiega la rarità delle fratture sulla linea apofisaria, la separazione dell’apofisi olecranica è considerata la forma più rara di distacco epifisario. A questo livello, tuttavia, si possono identificare apofisiti e fratture da stress in atleti che praticano sport con lanci frequenti ma anche in ginnasti e tennisti che scaricano sull’olecrano importanti tensioni muscolari. Dal punto di vista radiologico, nelle apofisiti e nelle fratture da stess vi sono irregolarità e ampliamenti della cartilagine di coniugazione che si possono evidenziare con una proiezione comparativa del gomito controlaterale. Irregolarità e ampliamenti diventano ancora più evidenti nelle vere e proprie fratture apofisarie.
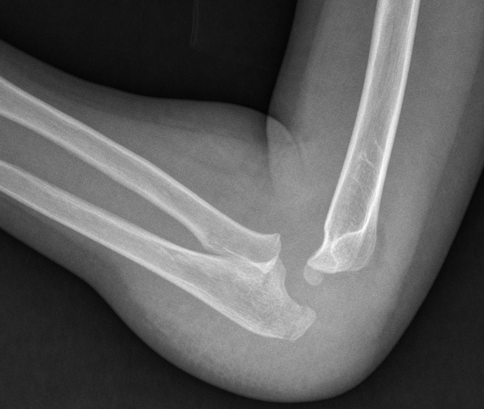
Le fratture metafisarie di olecrano (Figg. 1, 2) invece sono più frequenti, legate a tre meccanismi diversi:
- Traumi diretti a gomito flesso
In queste fratture accade che la forza tricipitale prossimale e la forza del muscolo brachiale distale aumentino la suscettibilità della corticale olecranica posteriore che quindi facilmente si rompe con linee fratturative trasverse intrarticolari.
- Traumi a gomito esteso con stress in varo o valgo
In accrescimento è frequente trovare una condizione di iperlassità legamentosa che, in caso di traumi a gomito esteso, favorisce lo sviluppo di fratture sovracondiloidee. L’olecrano distale può essere interessato quando il gomito oltre ad essere iperesteso è anche stressato in varo o valgo. Si tratta di fratture tipicamente lineari ed extrarticolari, a “legno verde”.
- Traumi con fratture da forza di taglio
Si tratta di fratture rare, generate da traumi diretti all’olecrano che causano una forza di trazione anteriore, a seguito della quale il frammento distale si disloca anteriormente. La rima di frattura può essere trasversa o obliqua.
Trattamento
In caso di fratture composte dell’apofisi olecranica è opportuno interrompere l’attività che ha provocato il danno, consigliare al paziente riposo, mantenendo il tono muscolare con esercizi selezionati. Con minime scomposizioni, entro i 2 mm, è opportuno immobilizzare il gomito del paziente in estensione con apparecchio gessato. Generalmente l’immobilizzazione è risolutiva, ad eccezione delle fratture da stress in cui si registra il più alto tasso di fallimento del trattamento conservativo.
In caso di fratture con scomposizione maggiore di 2 mm o fratture esposte è opportuno prendere in considerazione un metodo chirurgico.
In caso di fratture della metafisi olecranica è indicato il trattamento conservativo nel caso in cui la frattura sia composta o minimamente scomposta e riducibile. Nelle fratture da forza di taglio è importante ricordare che il frammento distale è scomposto anteriormente e il periostio posteriore rimane intatto, proprio il periostio intatto è un punto di tensione importante che facilita la riduzione in flessione della frattura. Tutte queste fratture devono essere seguite attentamente per osservare eventuali scomposizioni secondarie che aprirebbero la strada ad una revisione chirurgica. In caso di fratture scomposte si opta direttamente per il trattamento chirurgico.
Il trattamento chirurgico è indicato in caso di fratture con scomposizione superiore a 4mm della frattura che non riesce ad essere allineata con metodi a cielo chiuso nonché in fratture con superfici articolari non congruenti.
Nelle fratture apofisarie la riduzione con fili di K percutanei e la successiva immobilizzazione in gesso a gomito flesso è la prima possibilità chirurgica da tentare in caso di fratture riducibili 2.In caso di scomposizioni significative e non riducibili è preferibile utilizzare una tecnica a cielo aperto con fissazione interna utilizzando una combinazione di fili di K e cerchiaggi metallici o con fili riassorbibili. Per quanto riguarda le fratture da stress dell’apofisi prossimale è spesso sufficiente l’astinenza dall’attività sportiva, tuttavia nelle fratture da stress croniche potrebbe essere necessario un piccolo intervento chirurgico di apposizione di innesto osseo e impianto di vite di stabilizzazione 3.
Nelle fratture metafisarie scomposte si possono sfruttare diverse tecniche di riduzione chirurgica. Per le fratture più semplici può essere sufficiente una riduzione e osteosintesi con fili di K inseriti per via percutanea, a seguito della quale verrà confezionato un gesso brachio metacarpale in flessione. Se non si dovesse riuscire ad ottenere una riduzione adeguata con metodi a cielo chiuso sarà necessario eseguire un accesso posteriore con particolare attenzione a risparmiare la cute sovrastante l’apice olecranico per evitare fastidiose cicatrici post chirurgiche. A questo punto si può scegliere di utilizzare la tecnica chirurgica di cerchiaggio ad 8 con fili di K e fili riassorbibili oppure di effettuare un’osteosintesi con vite di 6.5mm perpendicolare alla linea di frattura, quest’ultima strada è la preferita nelle fratture da forza di taglio.
L’immobilizzazione post-operatoria va proseguita per 10-14 gg a seguito dei quali è opportuno abbandonare i tutori ed iniziare la chinesi per il recupero dell’articolarità.
Una delle possibili complicanze della chirurgia sulle cartilagini di accrescimento è la fusione prematura delle fisi e il conseguente arresto della crescita. Tuttavia non sono stati descritti accorciamenti ulnari o alterazioni anatomiche dell’olecrano funzionalmente rilevanti, questo può essere dovuto al fatto che queste fratture sono più frequenti in pazienti che hanno già cartilagini in via di chiusura 3.
CAPITOLO 7Bibliografia.
- Narang AM, Pandey AA, Bhat M. Management of Severely Displaced Radial Neck Fractures in Children: A Systematic Review and Meta-analysis of Outcomes. Indian J Orthop. 2020;54(1):60-68. doi:10.1007/s43465-019-00032-2.
- De Maio F, Gorgolini G, Caterini A, Luciano C, Covino D, Farsetti P. Treatment of olecranon fractures in childhood: A systematic review. Front Pediatr. 2022;10:1046243. doi:10.3389/fped.2022.1046243.
- Waters PM, Skaggs DL, Flynn JM. Rockwood and Wilkins’ Fractures in Children. VI, 2020.
- Tarallo L, Mugnai R, Fiacchi F, et al. Management of displaced radial neck fractures in children: percutaneous pinning vs. elastic stable intramedullary nailing. J Orthop Traumatol. 2013;14(4):291-297. doi: 10.1007/s10195-013-0252-0.
- Dietzel M, Scherer S, Esser M, et al. Fractures of the proximal radius in children: management and results of 100 consecutive cases. Arch Orthop Trauma Surg. 2022;142(8):1903-1910. doi:10.1007/s00402-021-03917-w.
