Fratture mono e bimalleolari e fratture-lussazioni di caviglia
Clinica Ortopedica e Traumatologica, Dipartimento di Medicina e Scienze dell’Invecchiamento Università degli Studi “G. d’Annunzio”, Chieti-Pescara
INTRODUZIONE
Eziopatogenesi e classificazione
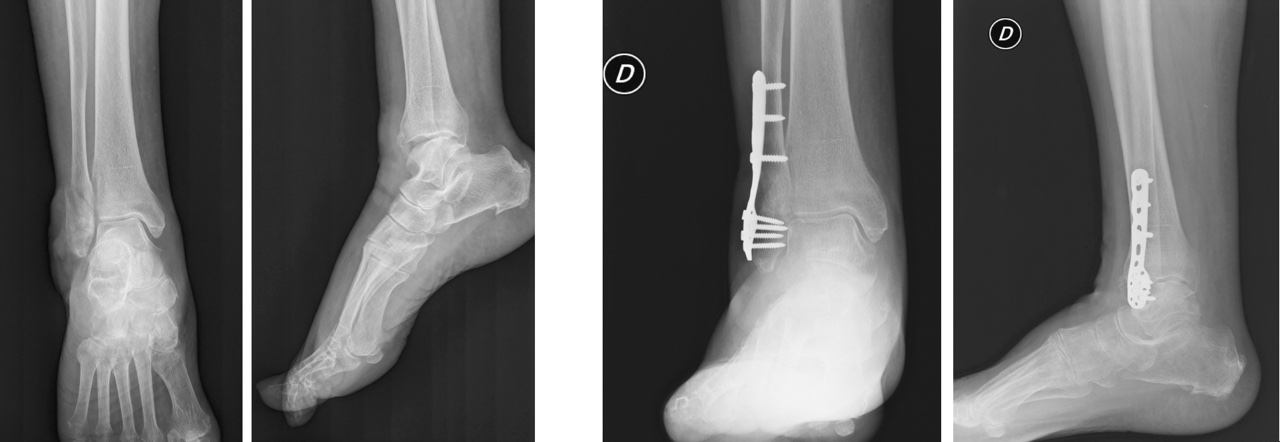
Le fratture malleolari sono fratture articolari causate da trauma diretto o più frequentemente, soprattutto in quelle da fragilità, da trauma indiretto di traslazione o di rotazione. Tali forze possono provocare anche una sublussazione oppure una lussazione dell’astragalo che non trova più la propria congruità all’interno del mortaio tibio-tarsico (Fig. 1). La posizione del piede e la direzione della forza deformante sono elementi fondamentali per capire il tipo di lesione. Proprio sulla base del meccanismo traumatico sono state ideate diverse classificazioni1-3. Le fratture malleolari possono coinvolgere solo il malleolo peroneale o quello tibiale (fratture monomalleolari), entrambi (fratture bimalleolari), oppure contestualmente anche il margine posteriore del pilone tibiale detto “terzo malleolo” (fratture trimalleolari).
La classificazione di Danis-Weber/AO Müller è la più utile e pratica poiché suddivide le fratture di caviglia in relazione alla sindesmosi tibio-peroneale (tipo A, B e C), indipendentemente dalla presenza o meno di una frattura del malleolo tibiale.
La lesione infra-sindesmosica (Tipo A) si verifica quando il piede è in supinazione e una forza deformante in adduzione viene applicata al retropiede. In questo caso si potrà avere una rottura del comparto laterale, un‘avulsione osteolegamentosa oppure una frattura trasversa del malleolo peroneale. Nel caso la forza deformante continuasse, si potrebbe verificare una frattura da taglio in compressione del malleolo tibiale dovuta allo spostamento dell’astragalo o una lesione del legamento deltoideo.
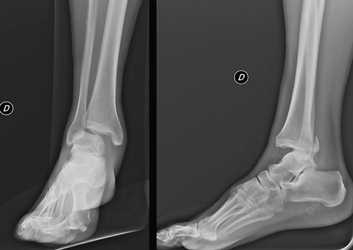
La lesione trans-sindesmosica (Tipo B) si verifica a causa di un carico assiale sul piede supinato; l’inversione provoca la rotazione esterna dell’astragalo. In primis si ha una frattura obliqua di perone (Fig. 2) e la progressiva rotazione esterna dell’astragalo può provocare una scomposizione posteriore con lesione del legamento posteriore della sindesmosi o frattura del terzo malleolo. Infine, mentre l’astragalo si sublussa posteriormente, il compartimento mediale della caviglia cede o per una rottura del legamento deltoideo o per una frattura trasversa del malleolo mediale.
La lesione sovra-sindesmosica (Tipo C) si verifica quando il piede è pronato e sulle le strutture mediali in tensione agisce una forza di rotazione esterna. Questo può portare a una rottura del legamento deltoideo o a una frattura malleolare mediale da avulsione. La progressiva rotazione esterna dell’astragalo forza il perone, provocando una rottura del legamento anteriore della sindesmosi e successivamente, del legamento interosseo; la tibia si sposta medialmente, allontanandosi dall’astragalo e dal perone (diastasi della sindesmosi), provocando la rottura del legamento tibio-peroneale distale posteriore.
ESAME OBIETTIVO E IMAGING
L’esame obiettivo è un importante strumento diagnostico che permette di determinare il grado di coinvolgimento dei tessuti molli e l’eventuale presenza di lesioni dei complessi legamentosi non evidenziabili all’esame radiografico e di valutare allo stesso tempo la stabilità articolare e lo stato neuro-vascolare del piede. La palpazione può evidenziare zone di dolorabilità e va eseguita attentamente soprattutto esaminando il perone nella sua intera lunghezza per escludere la presenza di una frattura di Maisonneuve (frattura del perone prossimale, frattura del malleolo tibiale e lacerazione della membrana interossea). In particolare oggi le Ottawa Ankle Rules (OAR) sono un validato strumento clinico sviluppato da Stiell et al. 4 per escludere le fratture della caviglia stabilendo che le radiografie della caviglia sono giustificate solo se il paziente soddisfa uno dei seguenti criteri: dolore o dolorabilità ossea a livello della tibia distale posteriormente o sull’apice del malleolo mediale; dolore o dolorabilità ossea a livello del perone distale posteriore o all’estremità del malleolo laterale; incapacità di sopportare il peso corporeo immediatamente dopo il trauma o nel tentativo di eseguire quattro passi in pronto soccorso 5. Allo stesso modo le radiografie del piede sono indicate se c’è dolorabilità ossea alla base del quinto osso metatarsale o a livello dell’osso navicolare.
Inoltre, nelle lesioni stabili e nelle fratture isolate composte del malleolo laterale vanno sempre ricercate lesioni del legamento deltoideo e della sindesmosi (Fig. 3). La stabilità della caviglia deve essere valutata con caute manovre in varo-valgo e in rotazione esterna. Un’instabilità anteriore dell’astragalo (test del cassetto anteriore) è indice di una lesione traumatica legamentosa, mentre una contrattura dei muscoli peroneali può celare un’instabilità laterale. Infine va esaminato lo stato neuro-vascolare con particolare attenzione alle paralisi complete o parziali del nervo peroneo comune. Lo studio di imaging prevede tre proiezioni radiografiche (AP standard, mortise view e la proiezione laterale) e permette di valutare l’angolo tibio-astragalico (v.n. 83° +/- 4°) che qualora risultasse maggiore o minore deporrebbe per un quadro di instabilità, cambiamento della lunghezza del perone o lussazione del mortaio TPA. La Tomografia Computerizzata è necessaria per una corretta pianificazione dell’intervento chirurgico e allo stesso tempo per identificare la presenza di una frattura del pilone tibiale, del tubercolo di Le Fort, del tubercolo di Chaput e del triangolo di Volkmann.
TRATTAMENTO
L’obiettivo terapeutico è il ripristino sia della normale anatomia articolare sia di una stabilità tale da consentire nel paziente una precoce mobilizzazione. L’incongruenza del mortaio TT non è tollerata provocando un carico anormale sulla cartilagine articolare. Per questo motivo una lussazione di caviglia pura 6 (lesione rara, spesso riduzione incruenta seguita da un periodo di immobilizzazione di circa 6 settimane) o associata a frattura deve essere ridotta in urgenza.
Il trattamento delle fratture malleolari sia esso conservativo o chirurgico, è fortemente condizionato dallo stato dei tessuti molli (considerare per questo motivo l’utilizzo di un FEA temporaneo), dall’obesità e nel paziente anziano anche dall’osteoporosi e da un’eventuale politerapia farmacologica. Le fratture infrasindesmosiche isolate del malleolo peroneale e stabili, possono essere trattate incruentemente. L’indicazione può divenire chirurgica in relazione all’instabilità e all’ incongruenza del mortaio in quanto tali fratture, provocando un carico anomalo sulla superficie articolare, possono portare a un quadro di artrosi precoce. La ricostruzione del perone, finalizzata al ripristino dell’asse e della corretta lunghezza, è il primo step durante l’osteosintesi delle fratture malleolari; l’utilizzo delle placche di ultima generazione, anche ad esempio con funzione di sostegno, associata a vite interframmentaria nel trattamento delle lesioni di tipo B con frattura di perone a rima obliqua corta, permette di non compromettere la vascolarizzazione periostale e raggiungere anche ad esempio in un paziente anziano un corretto bone healing. In caso però di frammento da strappo del malleolo laterale, così come nelle fratture da avulsione del malleolo tibiale (di solito in quelle di tipo B), può essere eseguita una sintesi con tirante secondo Weber. Sempre nelle fratture tipo con frattura isolata del malleolo peroneale una possibile insufficienza del legamento deltoideo è meglio diagnosticata con radiografie sotto stress o con Rx di controllo dopo 1 settimana dal trauma.
Il distacco del malleolo posteriore (nelle Tipo B), invece, può invece essere ridotto indirettamente trattando il malleolo laterale, laddove però tale frammento sia riconducibile a un tipo I secondo la classificazione TAC di Bartonıcek and Rammelt7. La raccomandazione che emerge oggi dall’analisi della letteratura è la necessità di trattare chirurgicamente il terzo malleolo allorquando il frammento sia di grandi dimensioni e coinvolge la superficie articolare: la sintesi deve ovviamente essere stabile ed eseguita a cielo aperto attraverso l’accesso postero-laterale 8.
Nelle fratture sovra-sindesmosiche (tipo C) va considerato sempre l’utilizzo di una vite di stabilizzazione della sindesmosi posizionata con piede in lieve flessione dorsale per impedire il restringimento del mortaio. Secondo la nostra esperienza, nelle fratture da fragilità, è preferibile eseguire una stabilizzazione della sindesmosi quadricorticale allorquando non venga utilizzata una fissazione dinamica poiché, in caso di rottura del mezzo di sintesi, è possibile rimuovere il frammento filettato mediante un accesso dalla corticale tibiale mediale. La fissazione statica della sindesmosi deve essere eseguita a 2 cm prossimalmente all’articolazione introducendo le viti (possibilmente due, da spongiosa 4 mm) obliquamente dalla parte posteriore a quella anteriore con un angolo di 25°-30°. La presenza di un Hook test positivo e l’allargamento dello spazio articolare visibile con scopie intraoperatorie maggiore di 2 mm indicano un’instabilità della sindesmosi e pertanto l’obbligatorietà al trattamento chirurgico.
A tutti i nostri pazienti in cui la frattura sia riconducibile a un quadro di fragilità ossea viene consigliata nel post-operatorio un’adeguata terapia con bifosfonati al fine di migliorare anche la tenuta dei mezzi di sintesi9. Oggi, infatti, l’incidenza di fratture malleolari da fragilità è in costante aumento. Nonostante complicanze di frequente riscontro nell’anziano10 spesso affetto da patologia diabetica, quali deiscenza della ferita chirurgica, infezioni e pseudoartrosi, il trattamento chirurgico rimane il gold standard soprattutto nelle fratture instabili11. Ciò è reso possibile non solo dalla disponibilità di mezzi di sintesi con design sempre più anatomici, ma anche dallo sviluppo di tecniche chirurgiche mini-invasive.
Si raccomanda la conoscenza e il rispetto dei principi biologici e meccanici alla base della guarigione di una frattura12 attraverso una corretta scelta e un adeguato utilizzo dei mezzi di sintesi.
Chirurgia: vie di accesso
a) Le più utilizzate
Accesso laterale: indicato nelle fratture isolate del malleolo peroneale o nelle bimalleolari; consigliabile un’incisone longitudinale leggermente posteriore al perone se non vi è coinvolgimento del tubercolo di Le Fort; rivolgere attenzione al nervo peroneale superficiale e al surale.
Accesso mediale: indicato per il trattamento delle frattura del malleolo tibiale e delle lesioni del legamento deltoideo; l’incisione decorre poco dietro al malleolo mediale in linea con la tibia, curvando anteriormente e distalmente; in alternativa può essere eseguita un’incisione più anteriore per meglio visualizzare l’articolazione; strutture da evitare sono vena e nervo safeni, nervo tibiale posteriore e vasi.
b) Le vie accessorie
Accesso posterolaterale: indicato per la gestione del terzo malleolo, per il posizionamento di una placca di sostegno o viti in compressione; l’incisione decorre tra il tendine d’Achille e i tendini peronei, il flessore lungo dell’alluce medialmente protegge l’arteria e il nervo tibiale posteriore.
Accesso posteromediale: indicato per la presenza contemporanea di una frattura del malleolo posteriore e di quello mediale; l’incisione è eseguita tra il tendine d’Achille e il malleolo tibiale, in primis identificare e proteggere il fascio vascolo-nervoso (V-N) tibiale posteriore, il malleolo mediale è esposto per dissezione in direzione anteriore e divaricando i tendini tibiale posteriore e flessore lungo delle dita insieme al fascio V-N.
CAPITOLO 82Bibliografia.
- Chapman MW, Mahoney M. The place of immediate internal fixation in the management of open fracture. Abbott See Bull 1976;8:85.
- Harper MC. Ankle fracture classification systems: a case for integration of the Lauge-Hansen and AO-Danis-Weber schemes. Foot Ankle. 1992 Sep;13(7):404-407. doi: 10.1177/107110079201300708.
- Müller ME, Nazarian S, Koch P, et al. The comprehensive classification of fractures of long bones. Berlin Heidelberg, New York: Springer-Verlag 1990.
- Stiell IG, Greenberg GH, McKnight RD, et al. A study to develop clinical decision rules for the use of radiography in acute ankle injuries. Ann Emerg Med. 1992 Apr;21(4):384-390. doi: 10.1016/s0196-0644(05)82656-3.
- Beckenkamp PR, Lin CC, Macaskill P, et al. Diagnostic accuracy of the Ottawa Ankle and Midfoot Rules: a systematic review with meta-analysis. Br J Sports Med. 2017 Mar;51(6):504-510. doi: 10.1136/bjsports-2016-096858.
- Wight L, Owen D, Goldbloom D, et al. Pure Ankle Dislocation: A systematic review of the literature and estimation of incidence. Injury. 2017 Oct;48(10):2027-2034. doi: 10.1016/j.injury.2017.08.011.
- Bartonicek J, Rammelt S, Kostlivy K, et al. Anatomy and classifcation of the posterior tibial fragment in ankle fractures. Arch Orthop Trauma Surg. 2015 Apr;135(4):505-516. doi: 10.1007/s00402-015-2171-4.
- Mortera S, Daghino W, Massè A. Fratture trimalleolari: è giunta l’ora di sintetizzare sempre il terzo malleolo? Giornale Italiano di Ortopedia e Traumatologia 2022;48:149-154. doi: 10.32050/0390-0134-N398.
- Moroni A, Faldini C, Hoang-Kim A, et al. Alendronate improves screw fixation in osteoporotic bone.J Bone Joint Surg Am. 2007 Jan;89(1):96-101. doi: 10.2106/JBJS.F.00484.
- Zaghloul A, Haddad B, Barksfield R, et al. Early complications of surgery in operative treatment of ankle fractures in those over 60: a review of 186 cases. Injury. 2014 Apr;45(4):780-783. doi: 10.1016/j.injury.2013.11.008.
- Giannoudis PV, Schneider E. Principles of fixation in osteoporotic fractures.J Bone Joint Surg Br. 2006 Oct;88(10):1272-1278. doi: 10.1302/0301-620X.88B10.17683.
- Perren SM. Evolution of the internal fixation of long bone fractures. The scientific basis of biological internal fixation: choosing a new balance between stability and biology. J Bone Joint Surg Br. 2002 Nov;84(8):1093-1110. doi: 10.1302/0301-620x.84b8.13752.
