Protesi e artrodesi di caviglia
Clinica Ortopedica e Traumatologica I, IRCCS Istituto Ortopedico Rizzoli, Dipartimento di Scienze Biomediche e Neuromotorie, Università di Bologna, Bologna
INTRODUZIONE
Protesi e artrodesi rappresentano due possibili trattamenti per la grave artrosi della caviglia. La patologia artrosica dell’articolazione tibio-tarsica è di frequente riscontro in campo ortopedico e la sua incidenza negli anni è in aumento1.
I fenomeni degenerativi a carico della caviglia, rispetto alle articolazioni di anca e ginocchio, sono raramente di tipo primitivo, e più di frequente secondari, in particolare a eventi traumatici1 come le fratture, le lussazioni, lesioni osteocondrali, i traumi legamentosi acuti o risultato di instabilità cronica. In particolare, le fratture destruenti della caviglia sono causate principalmente da incidenti stradali, infortuni sul lavoro o cadute dall’alto: a subire questi traumi sono tipicamente pazienti giovani, che salvano la caviglia e il piede ma non la loro funzionalità, e spesso, alla fine di un lungo e problematico percorso di cura, rimangono con gravi danni all’articolazione. La mancanza di movimento e il dolore determinano così una severa zoppia e la necessità di plantari o calzature ortopediche, che limitano gravemente la vita di relazione e la capacità lavorativa.
Anche le deformità del piede, come il piede piatto, il piede cavo e il piede torto, alterando i normali assi di carico possono esporre a un maggior rischio di usura della cartilagine e quindi artrosi precoce. In maniera analoga le patologie reumatiche, l’emofilia, l’emocromatosi, la gotta, la necrosi ossea e gli esiti di infezioni giocano un ruolo altrettanto rilevante nella patogenesi di questa affezione1.
Indipendentemente dalla eziologia, nei quadri artrosici severi i farmaci, le infiltrazioni, le terapie fisiche, la fisioterapia e i plantari non hanno effetto, se non per periodi limitati. L’obiettivo del trattamento chirurgico è quello di risolvere la sintomatologia dolorosa e al contempo garantire una certa funzionalità durante le comuni attività quotidiane.
L’artrodesi ha rappresentato per molti anni l’unica procedura in grado di risolvere le forme degenerative avanzate e ancor oggi è pratica attuale e spesso di prima scelta. Per quanto affidabile e facilmente riproducibile, con risultati positivi anche nel lungo periodo2, l’artrodesi sacrifica l’articolazione, abolisce il movimento e non è priva di possibili complicanze -5.
A partire dagli anni Settanta, nel tentativo di ricercare una maggior funzionalità e in virtù dei buoni risultati già ottenuti nella protesica di anca e ginocchio, furono introdotti i primi modelli di protesi di caviglia. Nonostante i fallimentari risultati iniziali6 e il precoce abbandono della tecnica, negli anni successivi le progettazioni di modelli più elaborati, attenti all’anatomia e alla cinematica articolare, hanno permesso di ottenere risultati sempre più incoraggianti, con minor tassi di revisione nel tempo7,8.
Gli impianti di ultima generazione attualmente a disposizione hanno affermato e definitivamente consolidato il ruolo della protesi di caviglia come alternativa all’artrodesi nel trattamento delle gravi forme degenerative artrosiche dell’articolazione tibio-tarsica.
La scelta di eseguire una artrodesi oppure una protesi deve essere attentamente ponderata, considerando tutti i fattori clinici, le condizioni anatomo-patologiche locali e le aspettative del paziente.
ARTRODESI
L’artrodesi di tibio-tarsica prevede la fusione chirurgica tra tibia e astragalo. Il piede è costituito da 26 ossa e da oltre 33 articolazioni: la caviglia è solo una di queste. Nonostante l’artrodesi porti a un blocco articolare, l’ampia motilità delle restanti articolazioni del piede, soprattutto della sua parte centrale (articolazione medio-tarsica di Chopart e articolazione tarso-metatarsale di Lisfranc), permette di compensare la perdita del movimento alla caviglia e garantisce la deambulazione e lo svolgimento delle normali attività quotidiane senza dolore, incluso guidare la macchina, praticare lavori pesanti e sport come la bicicletta e il nuoto.
In genere il paziente non avverte realmente il blocco della caviglia, in quanto la limitazione al movimento è già spesso presente prima dell’intervento a causa dell’artrosi avanzata. La zoppia tipica dell’artrosi di caviglia non è infatti dovuta alla limitazione del movimento bensì al dolore, che scompare dopo la fusione articolare3,4 .
Per quanto riguarda l’indicazione, in alcune situazioni l’artrodesi può essere l’unico intervento percorribile: in caso di completo sovvertimento anatomico (severe deformità in varo, valgo, procurvato o recuravato), gravi perdite di tessuto osseo, grave instabilità e forme neurologiche. In altri casi invece l’artrodesi può rappresentare una vera e propria alternativa alla protesi di caviglia3,4.
Quando possibile sarebbe bene evitare una artrodesi in presenza di estesa artrosi rigida al medio-avampiede. Principali controindicazioni all’artrodesi sono rappresentate dalla severa osteoporosi, dalle patologie vascolari scompensate e da importanti contratture in flessione del ginocchio3,4.
Da un punto di vista tecnico l’artrodesi di tibio-tarsica prevede la rimozione chirurgica della superficie articolare tibiale e astragalica in modo da mettere in contatto l’osso spongioso di entrambi i capi e promuovere la fusione ossea.
Per la prima valutazione ortopedica è necessario eseguire delle radiografie della caviglia e del piede sotto carico nelle proiezioni antero-posteriore, latero-laterale e per l’asse del retro-piede. Esami di secondo livello, in particolare TC e RMN sono di frequente richiesti per approfondimenti.
Per eseguire una artrodesi di tibio-tarsica sono possibili numerose tecniche, artroscopiche e aperte.
La tecnica artroscopica presenta alcuni vantaggi, tra cui una minor invasività e ridotte complicanze intra e post-operatorie. Nonostante questo, la metodica risulta tecnicamente più complessa e non consente di correggere deformità importanti della caviglia. Per questo motivo le reali indicazioni alle sue applicazioni sono ancora limitate.
Le tecniche aperte possono prevedere diversi accessi chirurgici: anteriore, laterale o posteriore.
L’accesso anteriore prevede una incisione longitudinale che si sviluppa tra il tibiale anteriore e l’estensore dell’alluce, consente una buona esposizione dell’articolazione e un ottimo potenziale correttivo di deformità sul piano frontale, in particolare nelle deformità in valgismo oppure quando si prevede l’utilizzo di un chiodo retrogrado per realizzare una artrodesi tibio-talo-calcaneare.
L’intervento può essere anche eseguito attraverso un approccio laterale che consente di raggiungere la caviglia mediante una osteotomia del perone secondo la tecnica di Merle D’Aubigne: tale approccio è da preferirsi nelle deformità in varismo.
Le indicazioni a un accesso posteriore sono più rare poiché l’esposizione dell’articolazione tibiotarsica è minore ed è aumentato il rischio di lesioni iatrogene alla sotto-astragalica: viene utilizzato se è presente una scarsità dei tessuti di copertura o una importante sofferenza cutanea pregressa in regione anteriore.
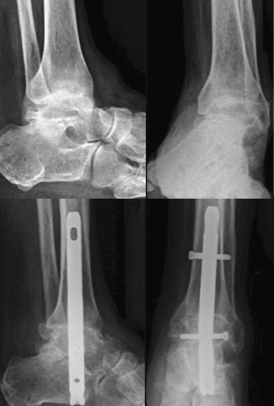
La stabilizzazione dei letti di artrodesi può essere ottenuta con il gesso (tecnica quasi totalmente abbandonata a causa dell’alto tasso di pseudoartrosi, da considerare utile come salvataggio quando non possono essere impiantati mezzi di sintesi come ad esempio nelle infezioni), mediante viti, attraverso un chiodo retrogrado tibio-talo-calcaneare (Fig. 1) o con la fissazione esterna3,4.
Indipendentemente dalla tecnica chirurgica utilizzata l’artrodesi dovrebbe privilegiare una sintesi stabile e in compressione.
Per ottenere buoni risultati l’artrodesi deve essere eseguita fissando il rapporto tra la tibia e il piede in modo da consentire l’appoggio e la deambulazione senza zoppia, con il minimo dispendio energetico: è pertanto indicato fissare il piede con 5-10° di extra-rotazione e 5-10° di valgismo, e una lieve retro-posizione del piede rispetto alla tibia.
L’artrodesi della caviglia permette una deambulazione priva di sforzo quando il piede è in grado di raggiungere una posizione di talismo di circa 10°. Questa si può ottenere con la caviglia fissata a 90° quando l’articolazione medio-tarsica è in buone condizioni. Se invece l’articolazione medio-tarsica è compromessa è utile fissare la tibiotarsica 10° in talismo.
Il protocollo post-operatorio prevede l’utilizzo di uno stivaletto gessato o di tutore a permanenza per 5 settimane, senza carico; a seguire si prescrivono movimenti attivi e passivi di riabilitazione, e carico progressivo in tutore per altri 30 giorni circa.
Le complicanze di un intervento di artrodesi sono rare. Pur agendo in un contesto di elevata sicurezza, esiste tuttavia la possibilità di sviluppare ritardi di guarigioni della ferita, infezioni, trombosi venosa profonda, pseudoatrosi (mancanza della fusione articolare), viziosa consolidazione sul piano frontale e sagittale, e intolleranza ai mezzi di sintesi. Molte di queste complicanze sono favorite da alcuni fattori di rischio, come la storia di multipli pregressi interventi sulla stessa caviglia, le estese cicatrici, gli esiti di fratture esposte, diabete, obesità, vasculopatia periferica, abitudine tabagica, abuso di alcool e di sostanze stupefacenti3-5.
il blocco articolare provoca inoltre una certa sollecitazione alle articolazioni sotto-segmentarie, soprattutto a livello del medio-piede, che per questo tendono a sviluppare artrosi precoce3-5.
PROTESI DI CAVIGLIA
La protesi di caviglia rappresenta una alternativa all’artrodesi per i pazienti affetti da severa artrosi che vogliano mantenere il movimento articolare. Le indicazioni sono spesso sovrapponibili all’artrodesi, ma la protesi risulta particolarmente indicata quando è presente una severa rigidità artrosica diffusa a tutto il piede, come ad esempio avviene nel piede reumatico: tale condizione in genere non consente i meccanismi di compenso utili alla deambulazione senza sforzo.
Principali controindicazioni assolute alla protesi sono rappresentate da: completa necrosi avascolare dell’astragalo, severa osteoporosi, patologie vascolari scompensate e infezioni in atto6-8.
La protesi consente di sostituire l’articolazione malata con un impianto in grado di ripristinarne buona parte del movimento e risolverne il dolore. La deambulazione risulta più fisiologica rispetto all’artrodesi in quanto si conserva il movimento articolare, ma le attività consentite dopo l’intervento sono sovrapponibili: lavoro anche pesante, sport leggeri come la bicicletta e il nuoto. La protesi di caviglia lascia inoltre maggiore libertà di scelta nel tipo di scarpe, con la possibilità di utilizzare calzature provviste di tacco.
Durante la visita ortopedica è fondamentale la valutazione sovra-segmentaria sia per quanto riguarda la motilità articolare che l’asse di carico e la valutazione globale sotto-segmentaria del retro e medio-piede in relazione a motilità articolare, grado di artrosi, allineamento, stabilità e appoggio metatarsale. Pertanto, è necessario valutare delle radiografie panoramiche degli arti inferiori sotto carico, della caviglia e del piede sotto carico nelle proiezioni antero-posteriore, latero-laterale e per l’asse del retro-piede. Esami di secondo livello, in particolare TC e RMN sono di frequente richiesti.
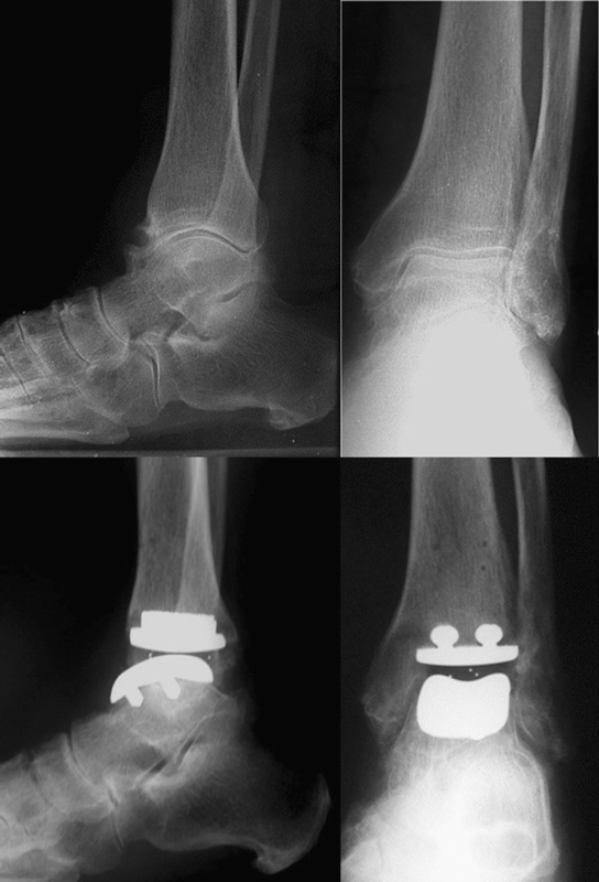
Le protesi di ultima generazione possono essere a 2 o 3 componenti: è sempre presente una componente tibiale e una astragalica, che si articolano attraverso un menisco interposto in polietilene che può essere vincolato alla componente tibiale (protesi a 2 componenti) o libero, interposto tra componente tibiale e astragalica (protesi a 3 componenti, Figura 2)6-10.
Oltre alle protesi tradizionali esistono protesi personalizzate che vengono prodotte con ricostruzioni TC e mediante innovativi sistemi di personalizzazione: partendo dall’anatomia di ogni singolo paziente e utilizzando come riferimento la caviglia controlaterale sana è possibile costruire con manifattura additivita e stampa 3D un impianto su misura e uno strumentario personalizzato9,10.
La protesi di caviglia viene in genere impiantata mediante un accesso anteriore che si sviluppa tra il tibiale anteriore e l’estensore dell’alluce. L’intervento può essere eseguito anche attraverso un approccio laterale mediante una osteotomia del perone.
Il protocollo post-operatorio prevede l’utilizzo di uno stivaletto gessato o di tutore a permanenza per 2 settimane, senza carico; a seguire si prescrivono movimenti attivi e passivi di riabilitazione, e carico progressivo in tutore fino a circa 45 giorni dall’intervento.
Alcune complicanze possono verificarsi a seguito dell’intervento: sofferenza della ferita chirurgica, dolore residuo, riduzione del movimento e problemi di natura vascolare. Inoltre, alcune categorie di pazienti, come quelli già operati, con estese cicatrici ed esiti di fratture esposte, diabete, obesità, vasculopatia periferica, abitudine tabagica, abuso di alcool e sostanze stupefacenti, presentano un maggior rischio di infezione. È infine importante avvertire il paziente motivato alla sostituzione protesica della caviglia che l’intervento, analogamente alle protesi in altri distretti, pur essendo molto promettente in termini di recupero del movimento, durata e tasso di sopravvivenza (oltre l’80% a 10 anni) può andare incontro a rigidità articolari, a complicanze precoci quali l’infezione e complicanze tardive quali la mobilizzazione protesica, che richiedono l’espianto e successivi interventi di revisioni o artrodesi6-8.
CAPITOLO 79Bibliografia.
- Valderrabano V, Horisberger M, Russell I, et al. Etiology of ankle osteoarthritis.Clin Orthop Relat Res. 2009 Jul;467(7):1800-1806. doi: 10.1007/s11999-008-0543-6.
- Thomas RH, Daniels TR. Ankle arthritis. J Bone Joint Surg Am. 2003 May;85(5):923-936. doi: 10.2106/00004623-200305000-00026.
- Takakura Y, Tanaka Y, Sugimoto K, et al. Long-term results of arthrodesis for osteoarthritis of the ankle. Clin Orthop Relat Res. 1999 Apr:(361):178-185. doi: 10.1097/00003086-199904000-00023.
- Coester LM, Saltzman CL, Leupold J, et al. Long-term results following ankle arthrodesis for post-traumatic arthritis. J Bone Joint Surg Am. 2001 Feb;83(2):219-228. doi: 10.2106/00004623-200102000-00009.
- Hintermann B, Barg A, Knupp M, et al. Conversion of painful ankle arthrodesis to total ankle arthroplasty. Surgical technique. J Bone Joint Surg Am. 2009 Apr;91(4):850-858. doi: 10.2106/JBJS.H.00229.
- Saltzman CL. Perspective on total ankle replacement. Foot Ankle Clin. 2000 Dec;5(4):761-775.
- Pyevich MT, Saltzman CL, Callaghan JJ, et al. Total ankle arthroplasty: a unique design. Two to twelve-year follow-up. J Bone Joint Surg Am. 1998 Oct;80(10):1410-1420.
- Spirt AA, Assal M, Hansen ST Jr. Complications and failure after total ankle arthroplasty. J Bone Joint Surg Am 2004 Jun;86(6):1172-1178. doi: 10.2106/00004623-200406000-00008.
- Faldini C, Mazzotti A, Belvedere C, et al. A new ligament-compatible patient-specific 3D-printed implant and instrumentation for total ankle arthroplasty: from biomechanical studies to clinical cases.J Orthop Traumatol. 2020 Sep 2;21(1):16. doi: 10.1186/s10195-020-00555-7.
- Mazzotti A, Arceri A, Zielli S, et al. Patient-specific instrumentation in total ankle arthroplasty. World J Orthop. 2022 Mar 18;13(3):230-237. doi: 10.5312/wjo.v13.i3.230.
